EL
Home
Clinic
Services
Cases
Our team
Contact
© (2025) Cube-Creations, All Rights Reserved.
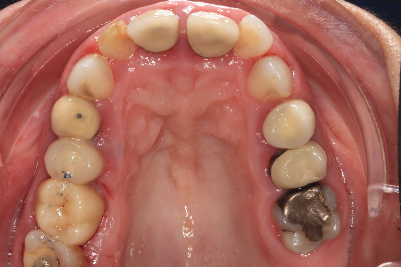
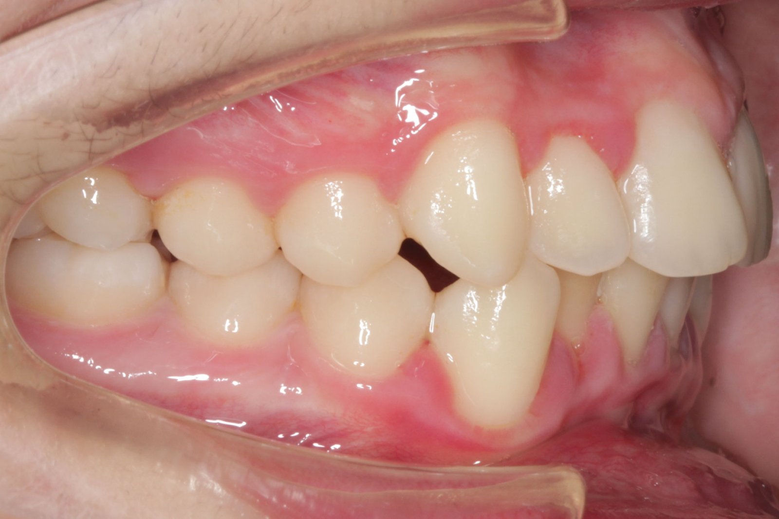
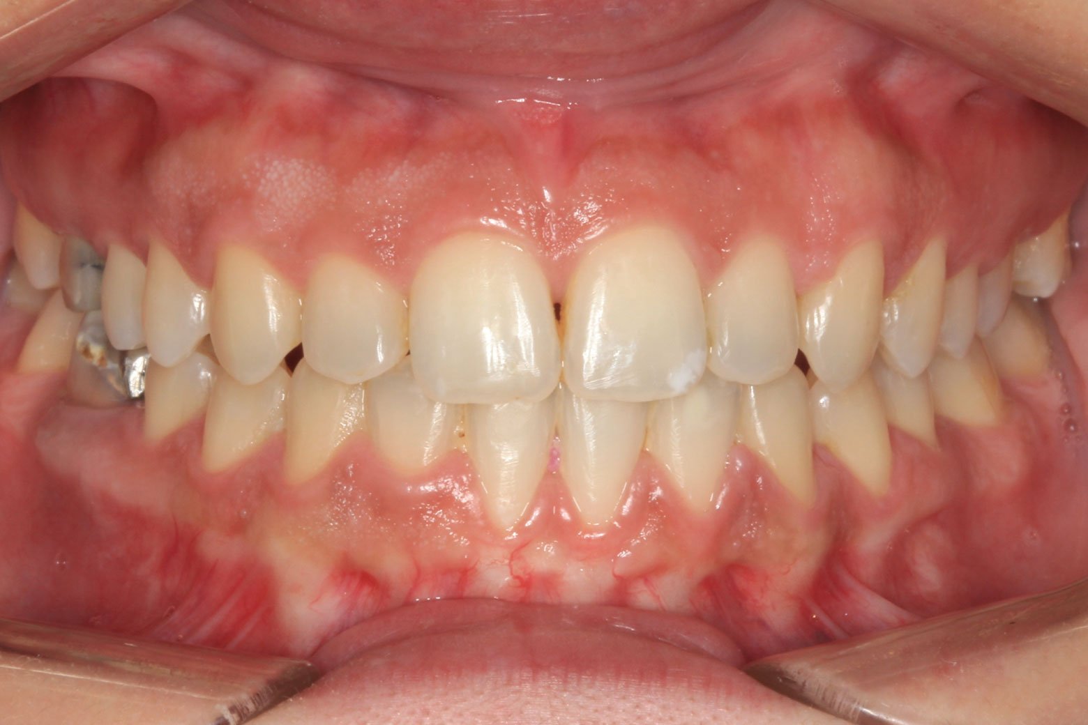
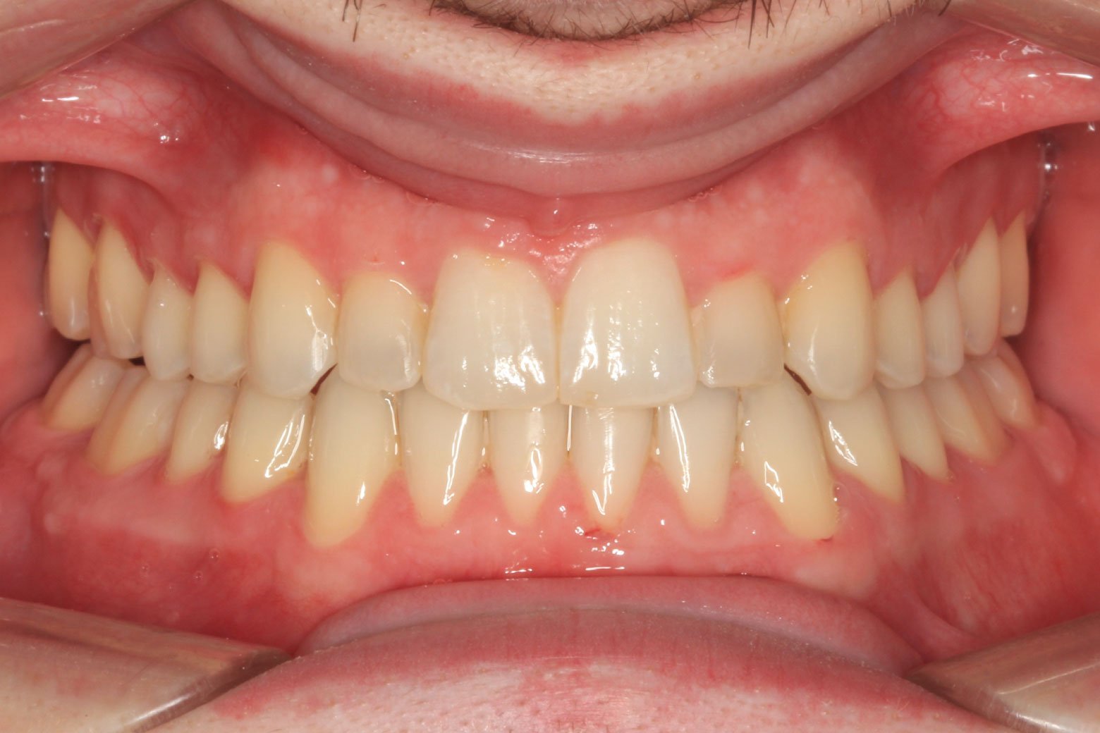
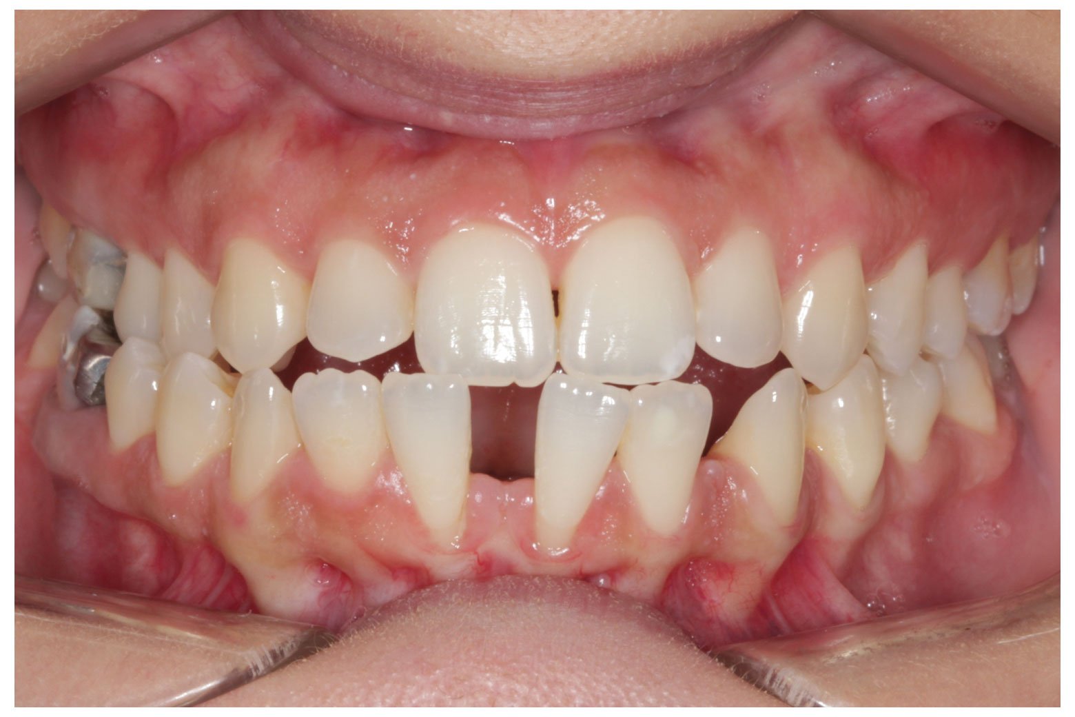
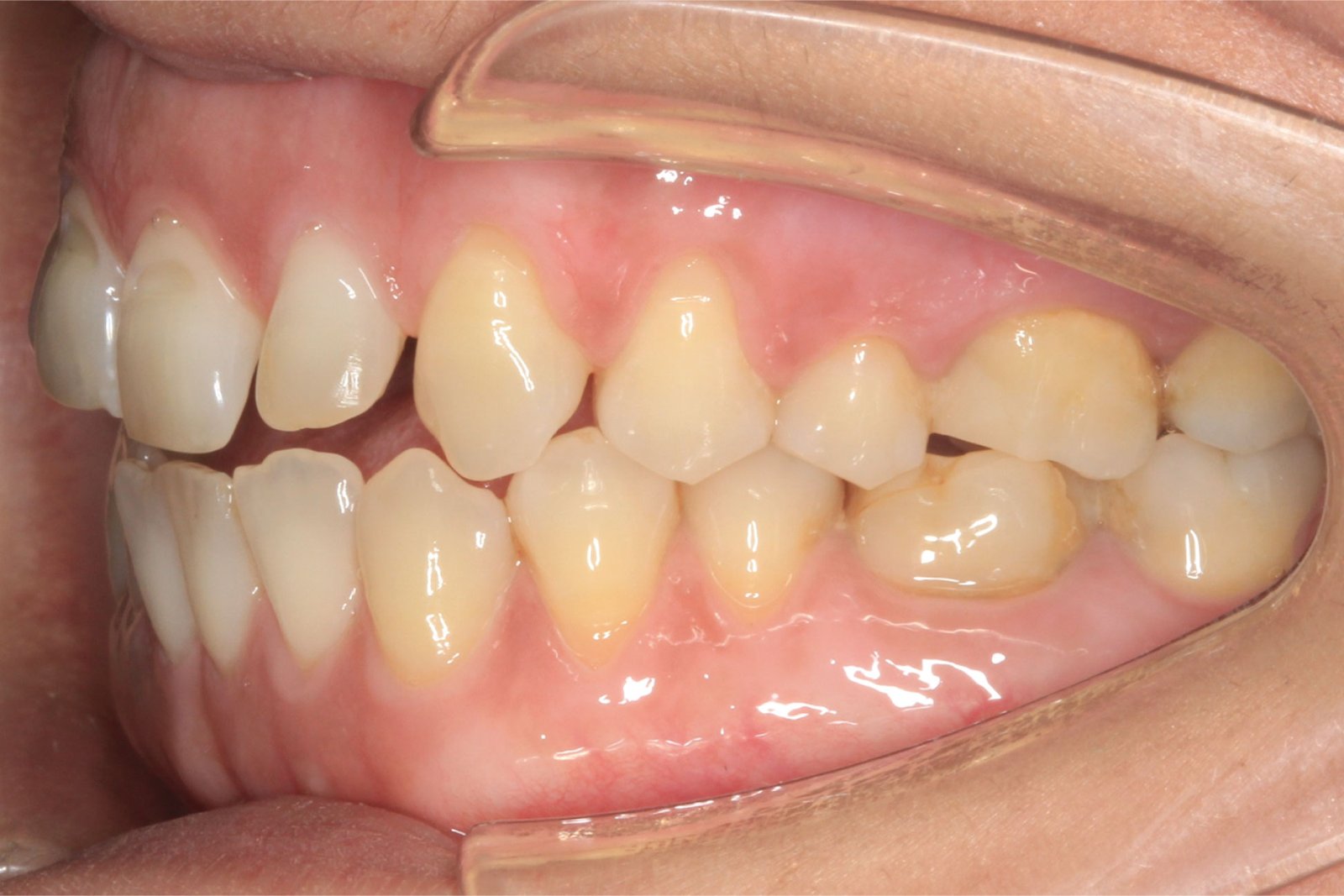
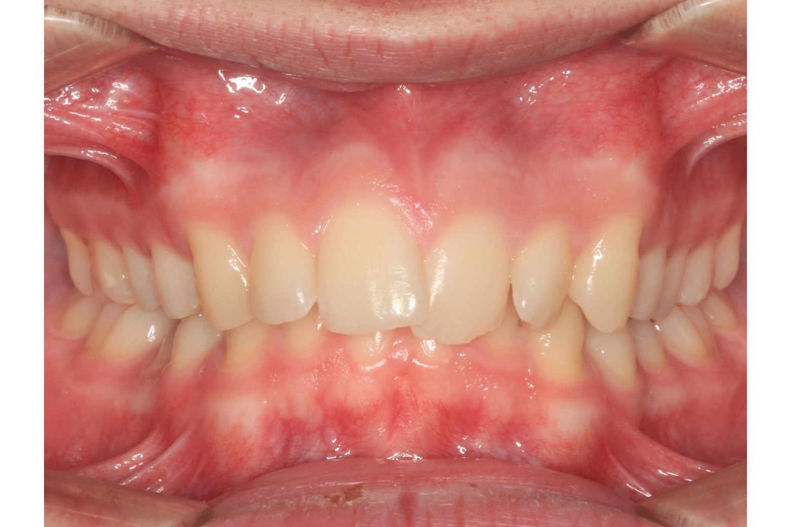
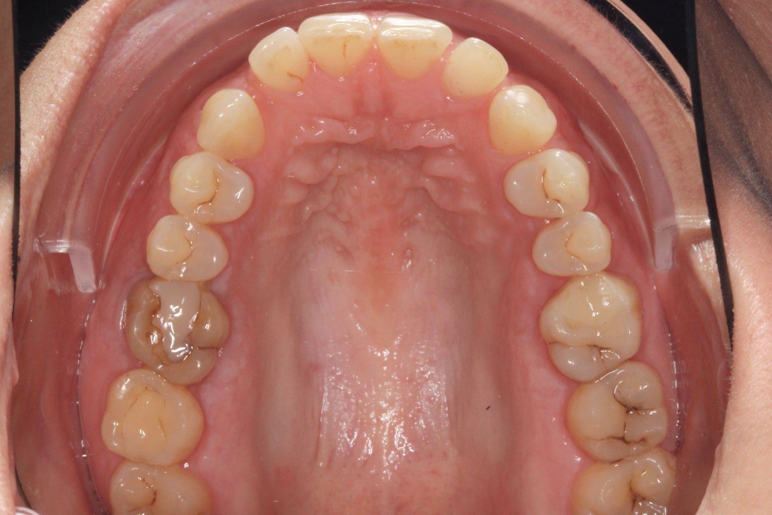
A collection of our cases
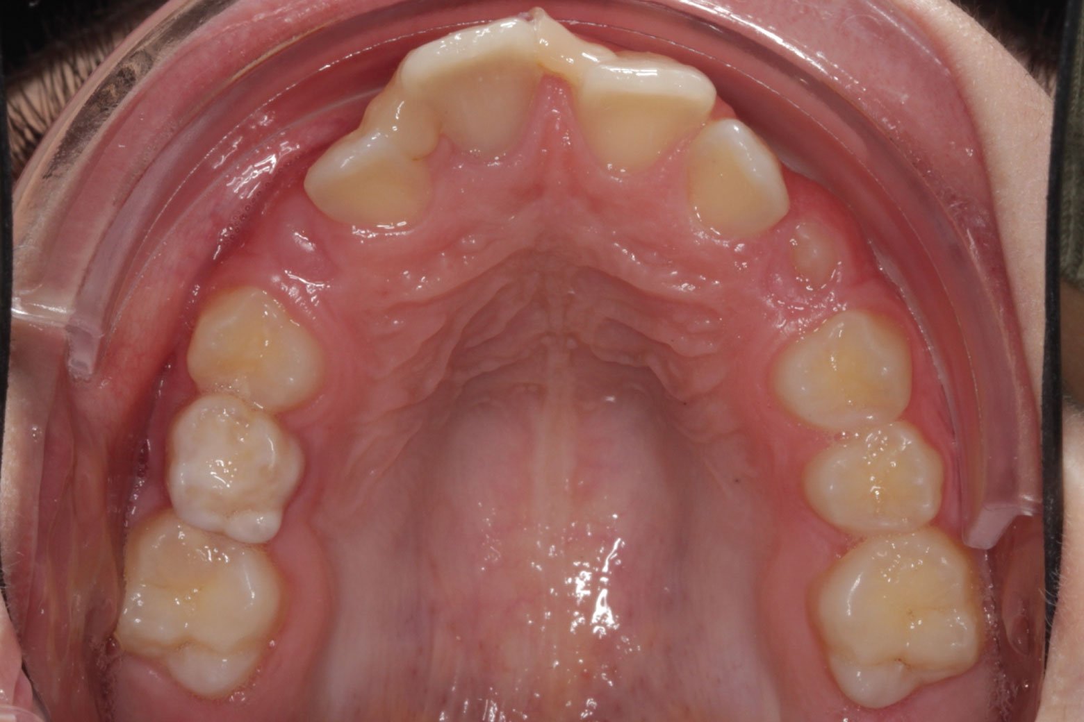
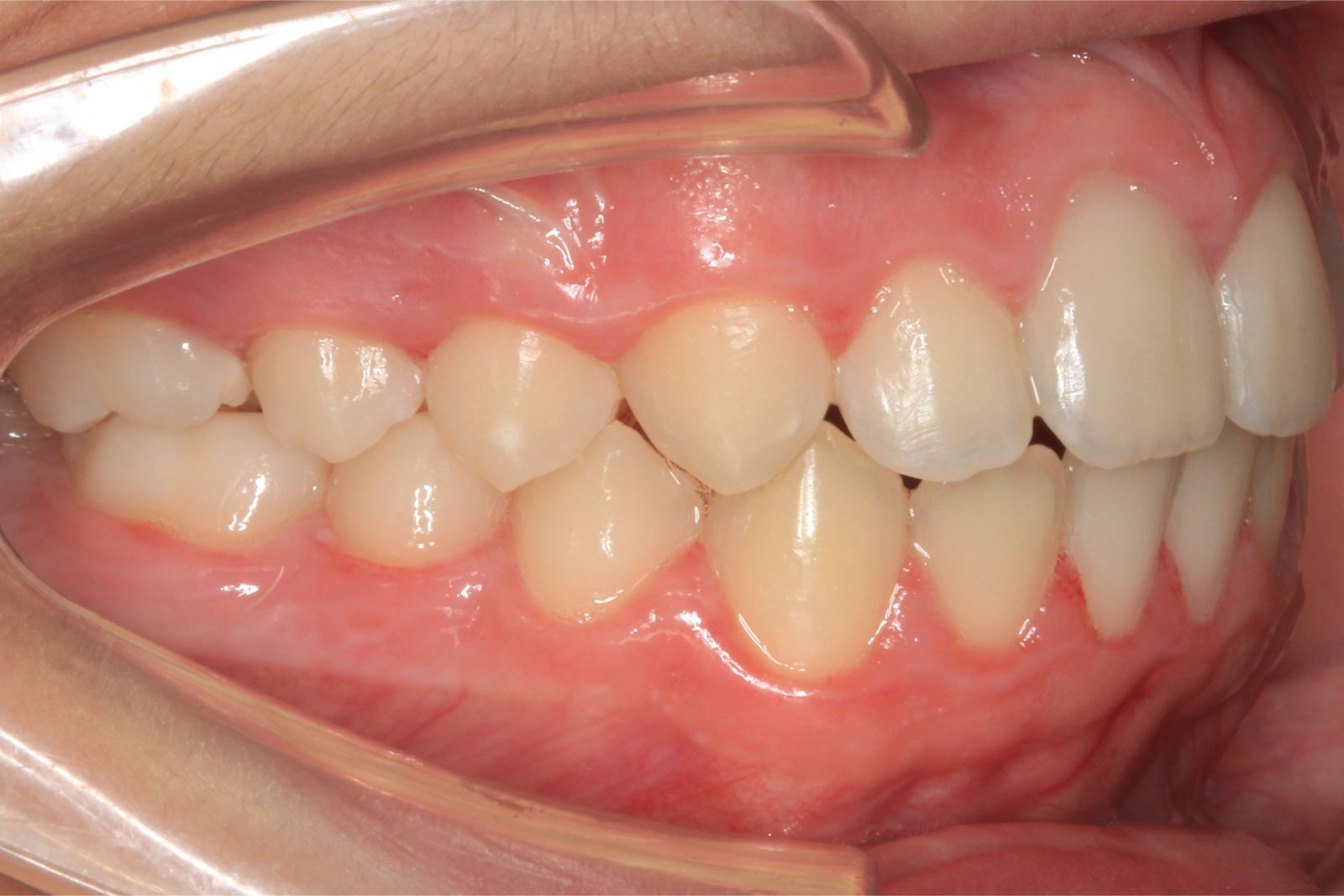
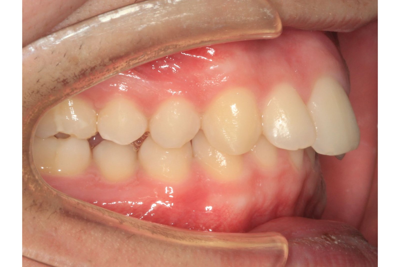
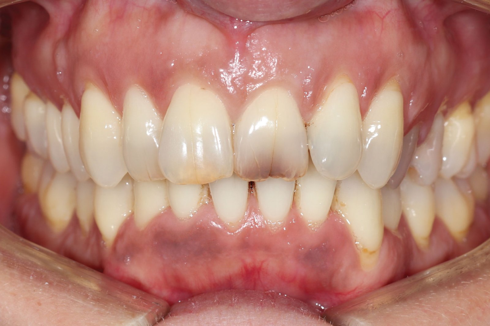
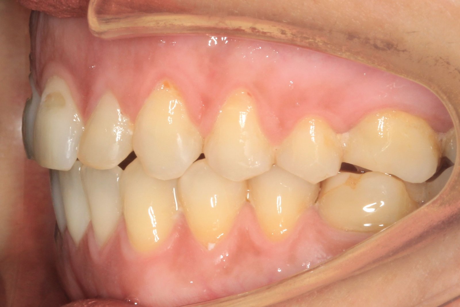
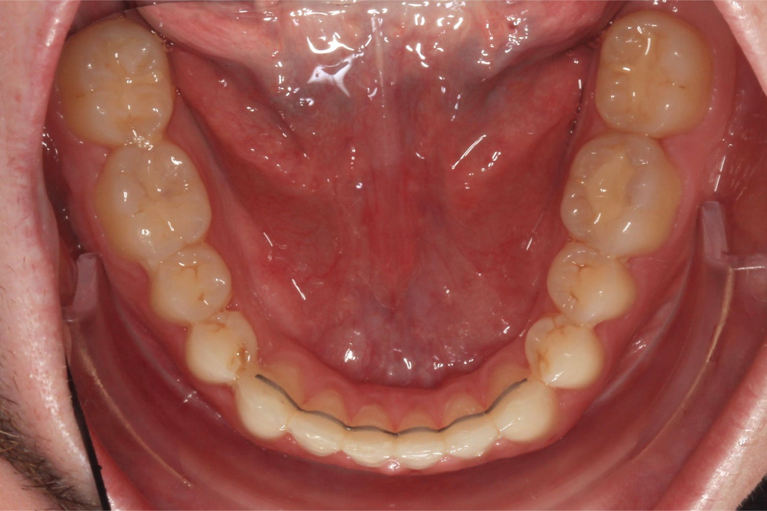
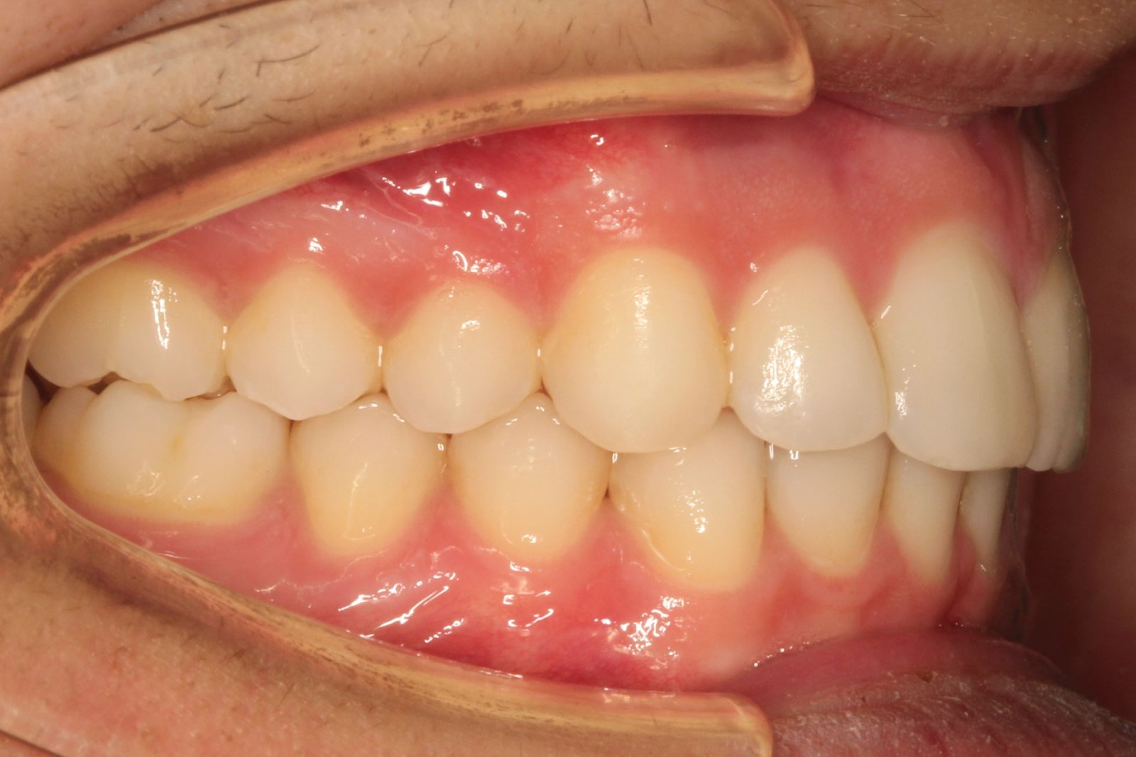
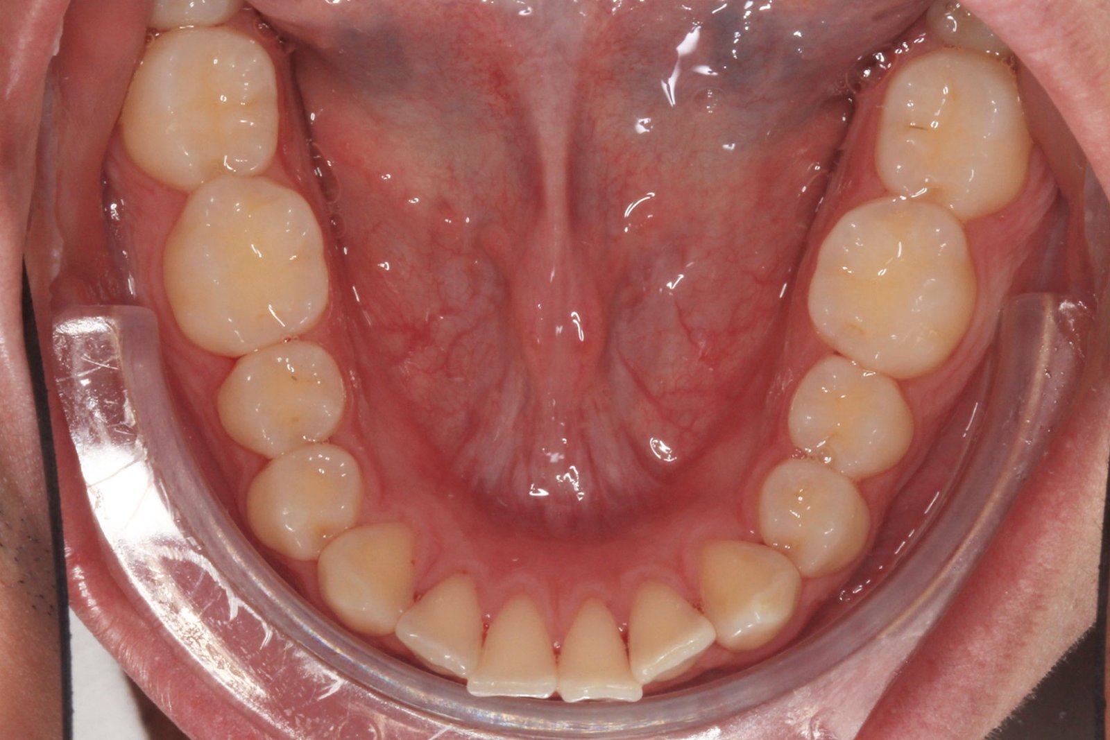
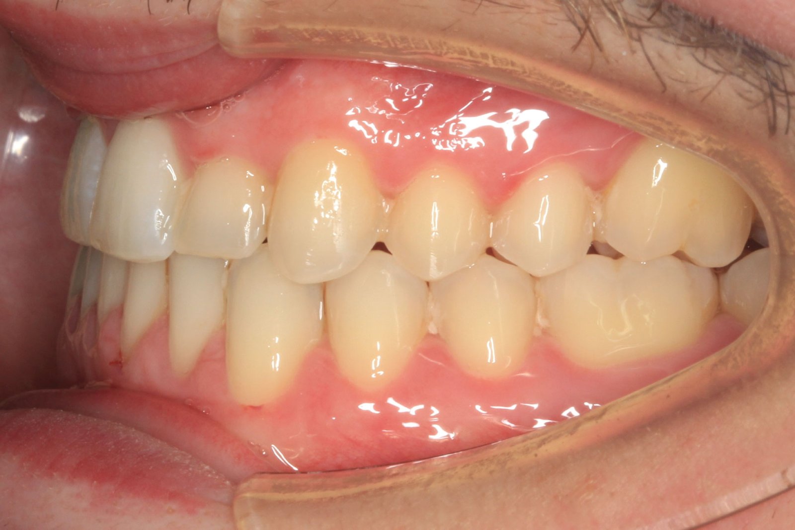
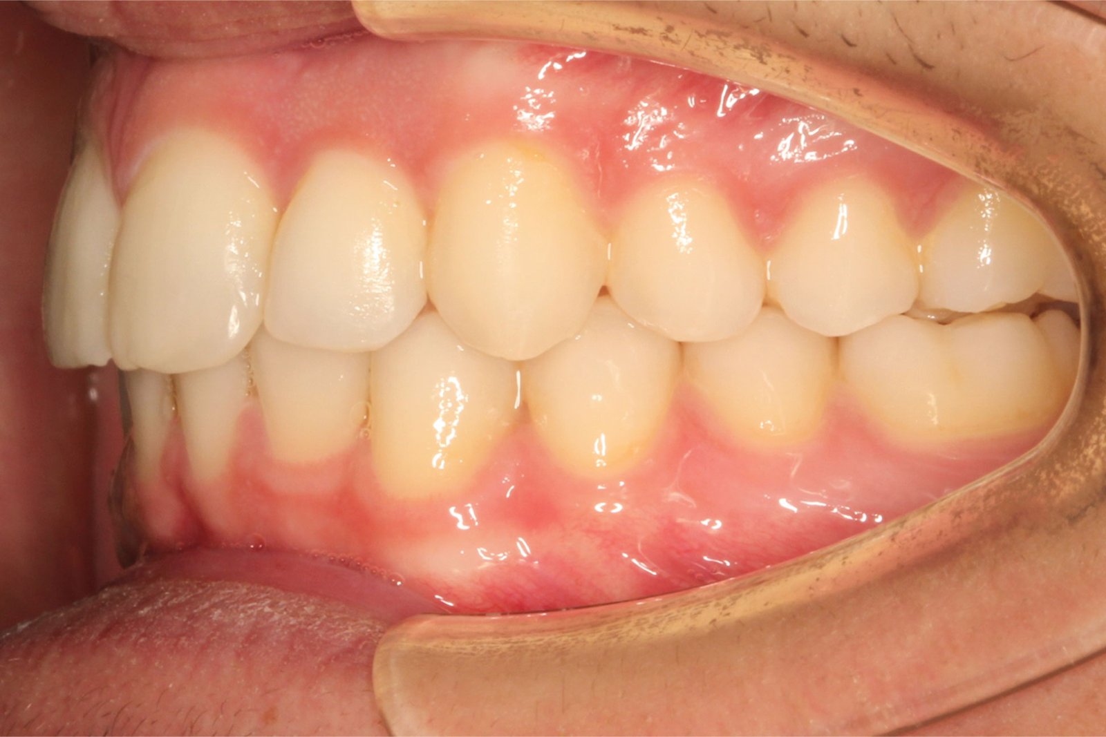
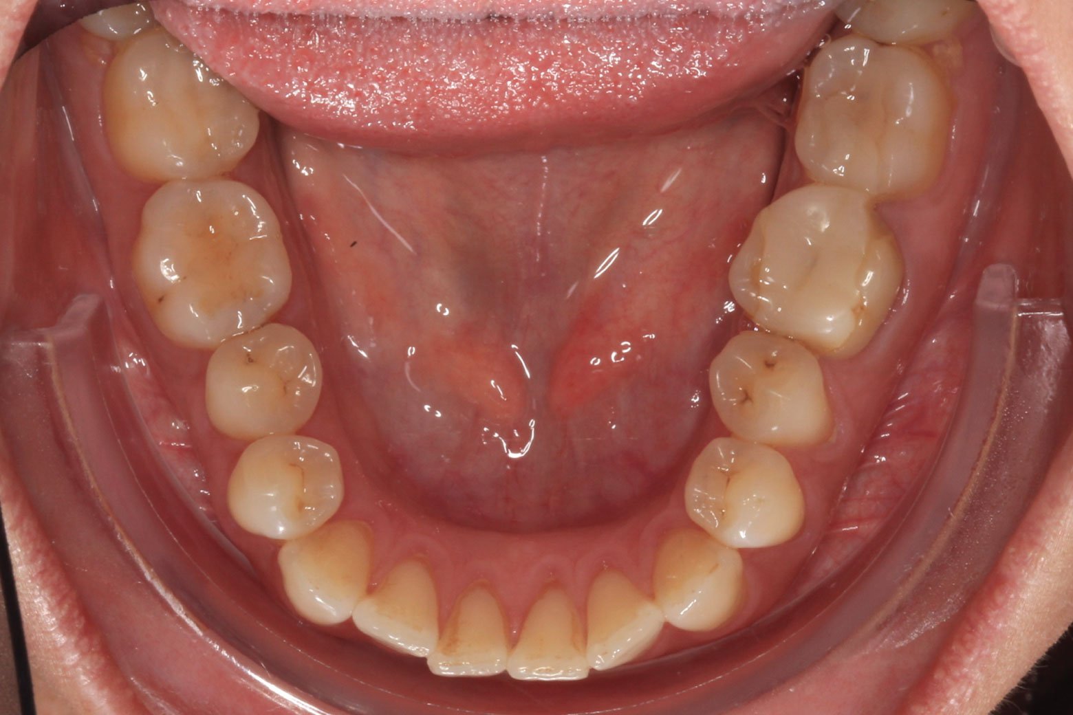
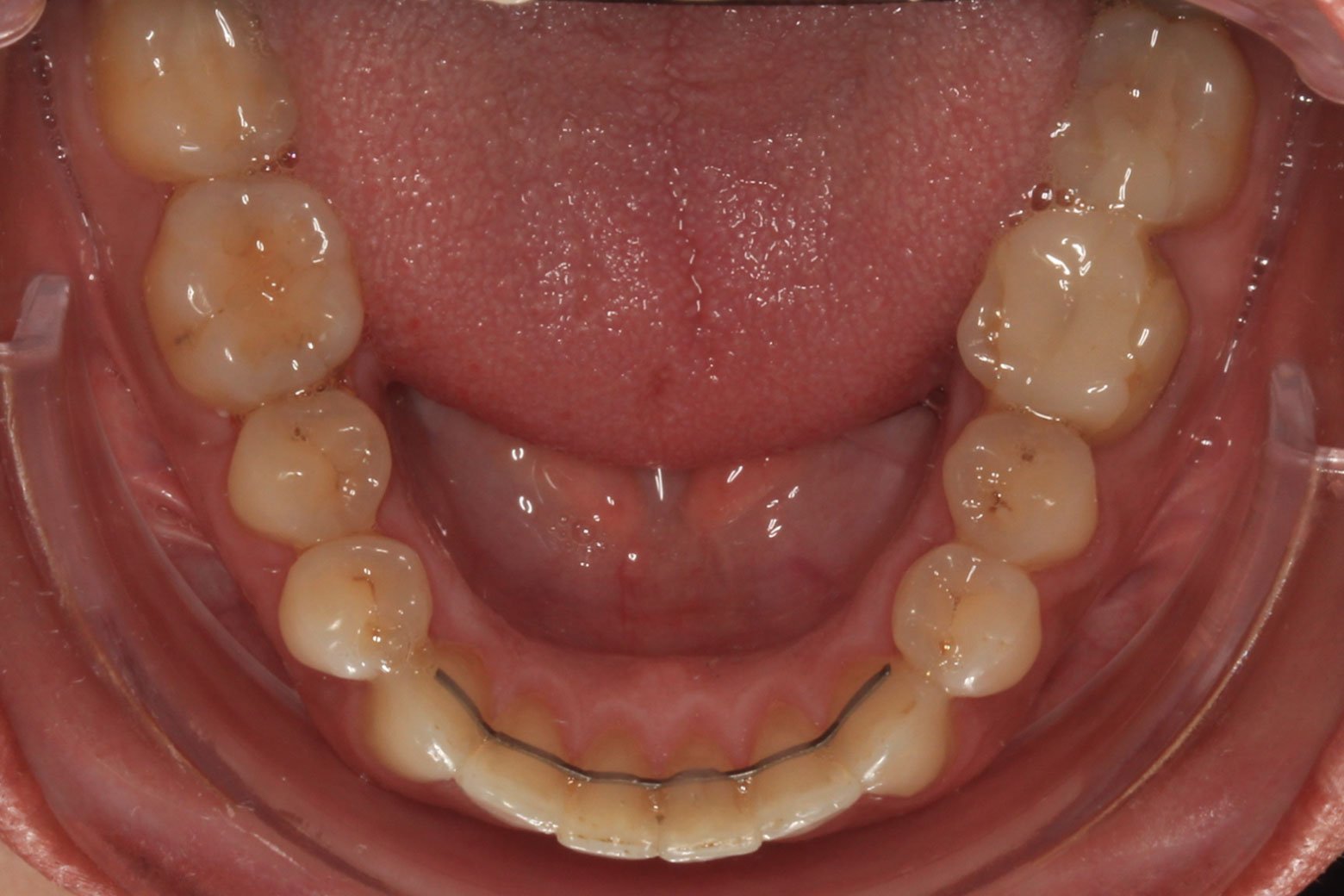
AFTER
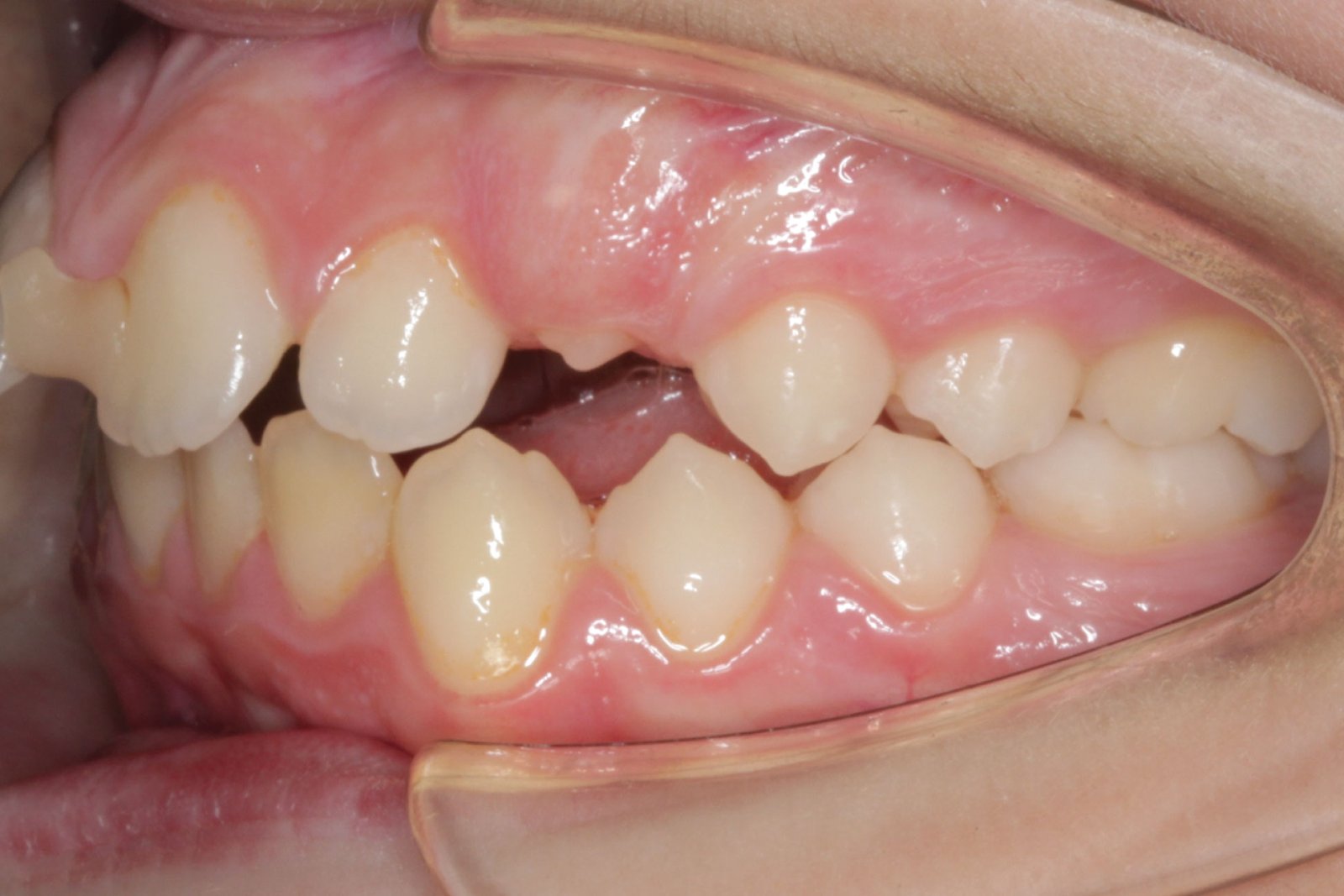
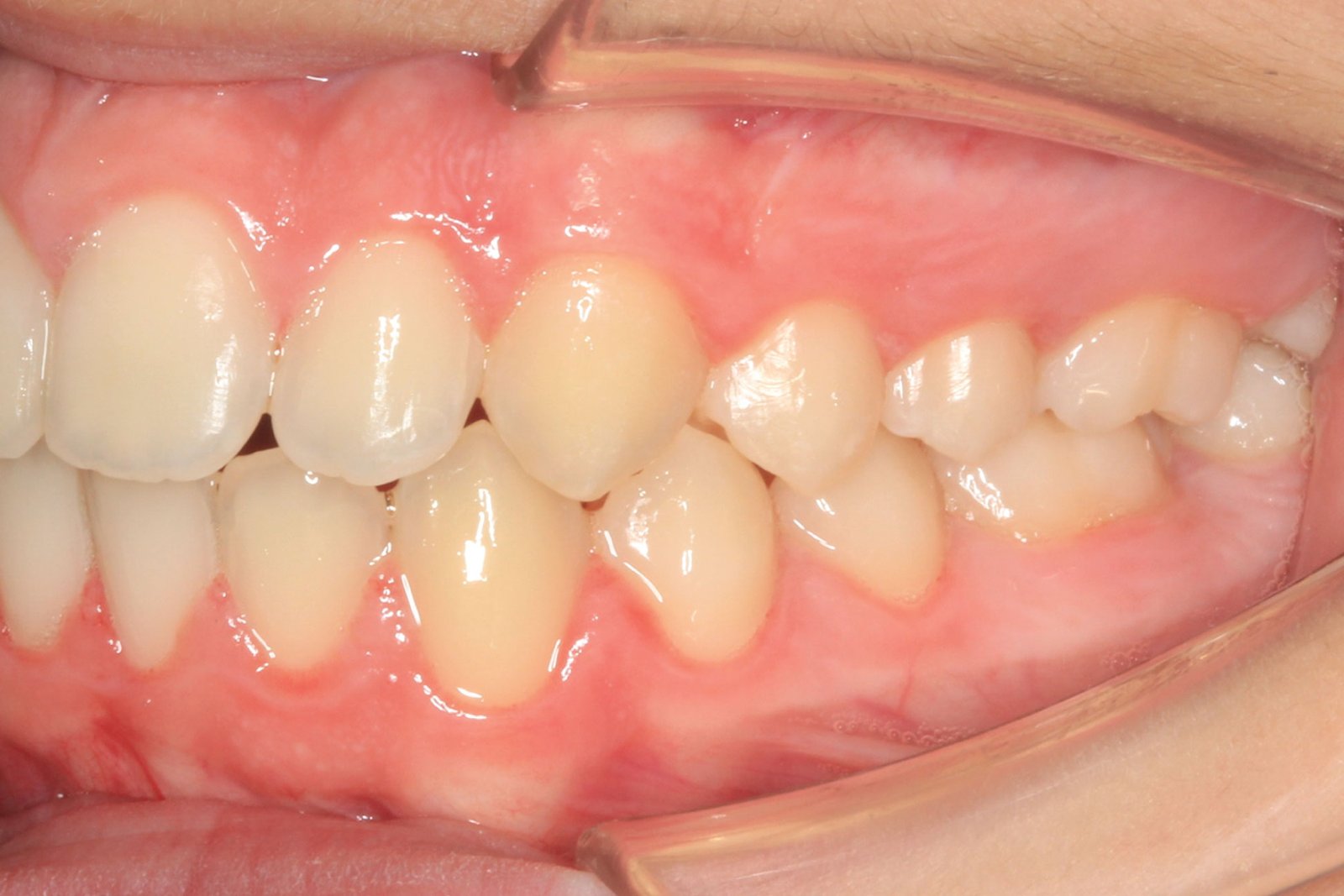
BEFORE
Invisalign treatment and composite veneers
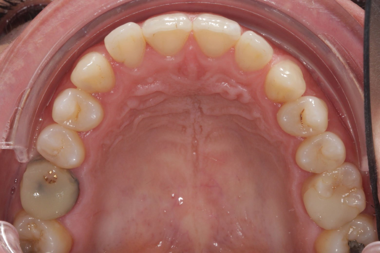
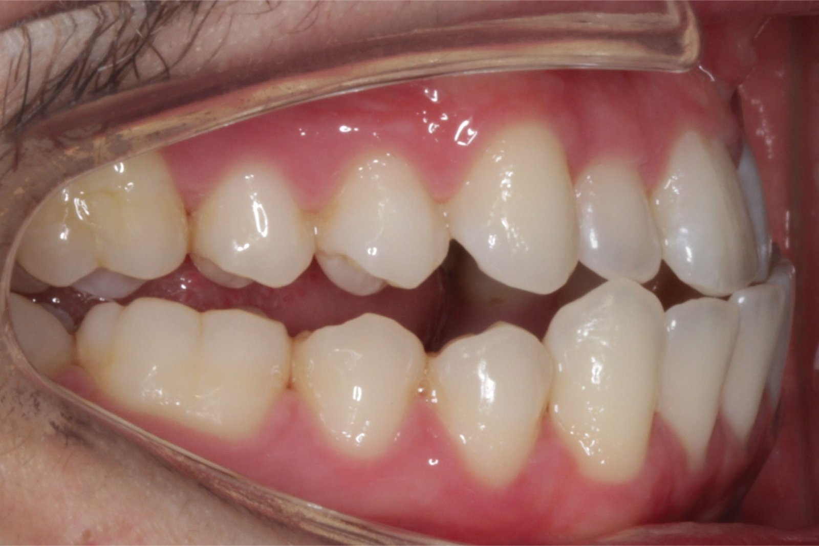
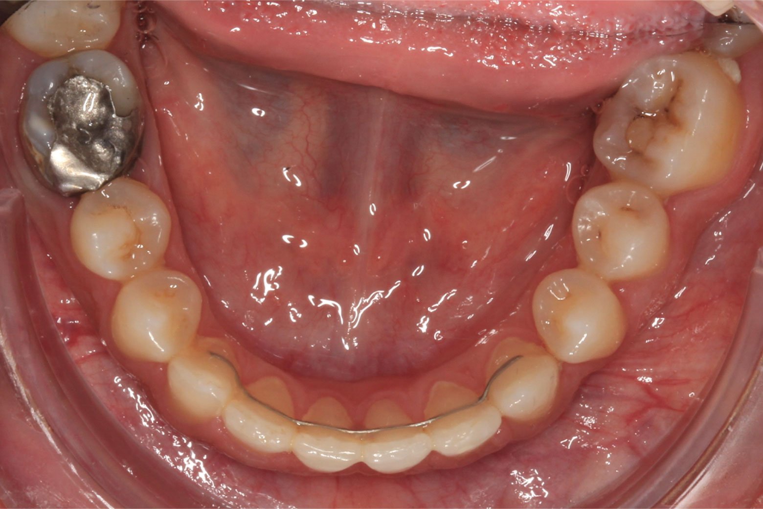
AFTER
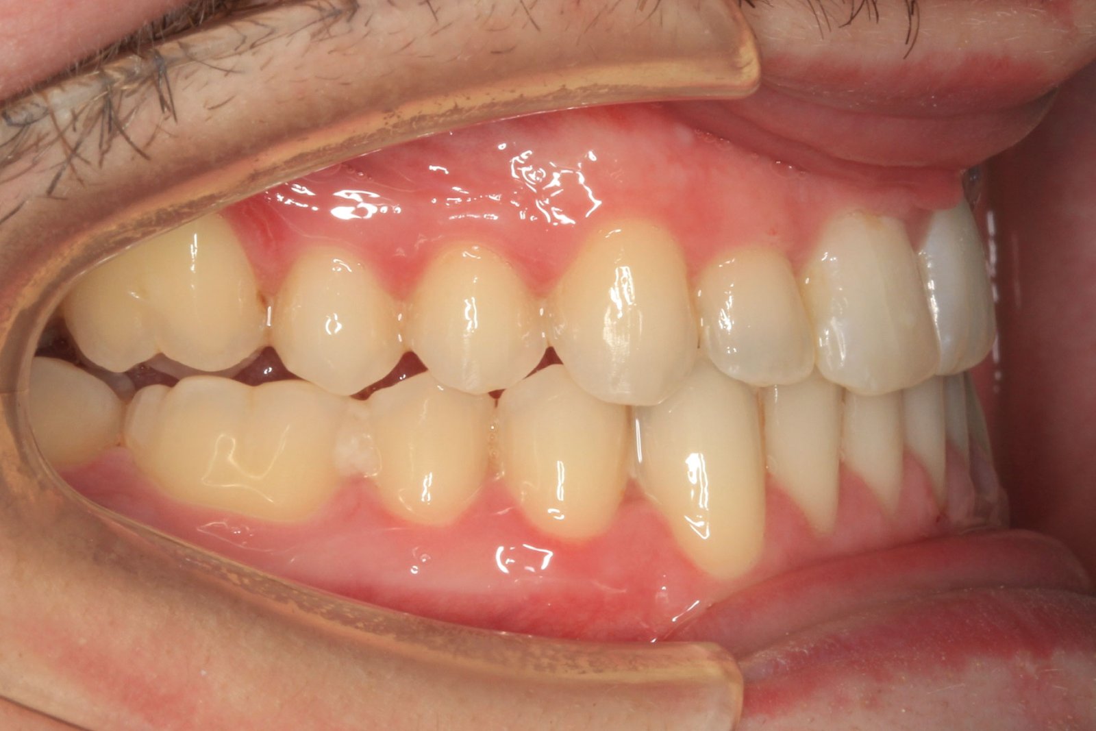
BEFORE
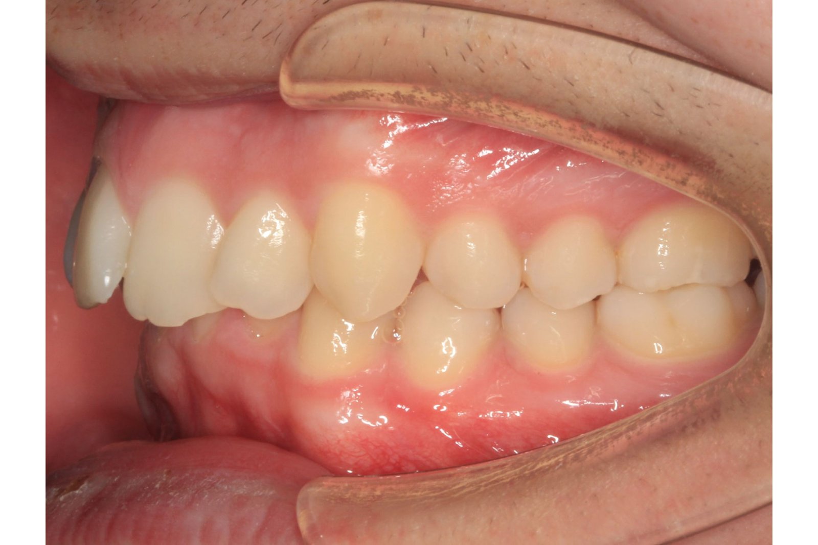
Orthodontic treatment of spaces
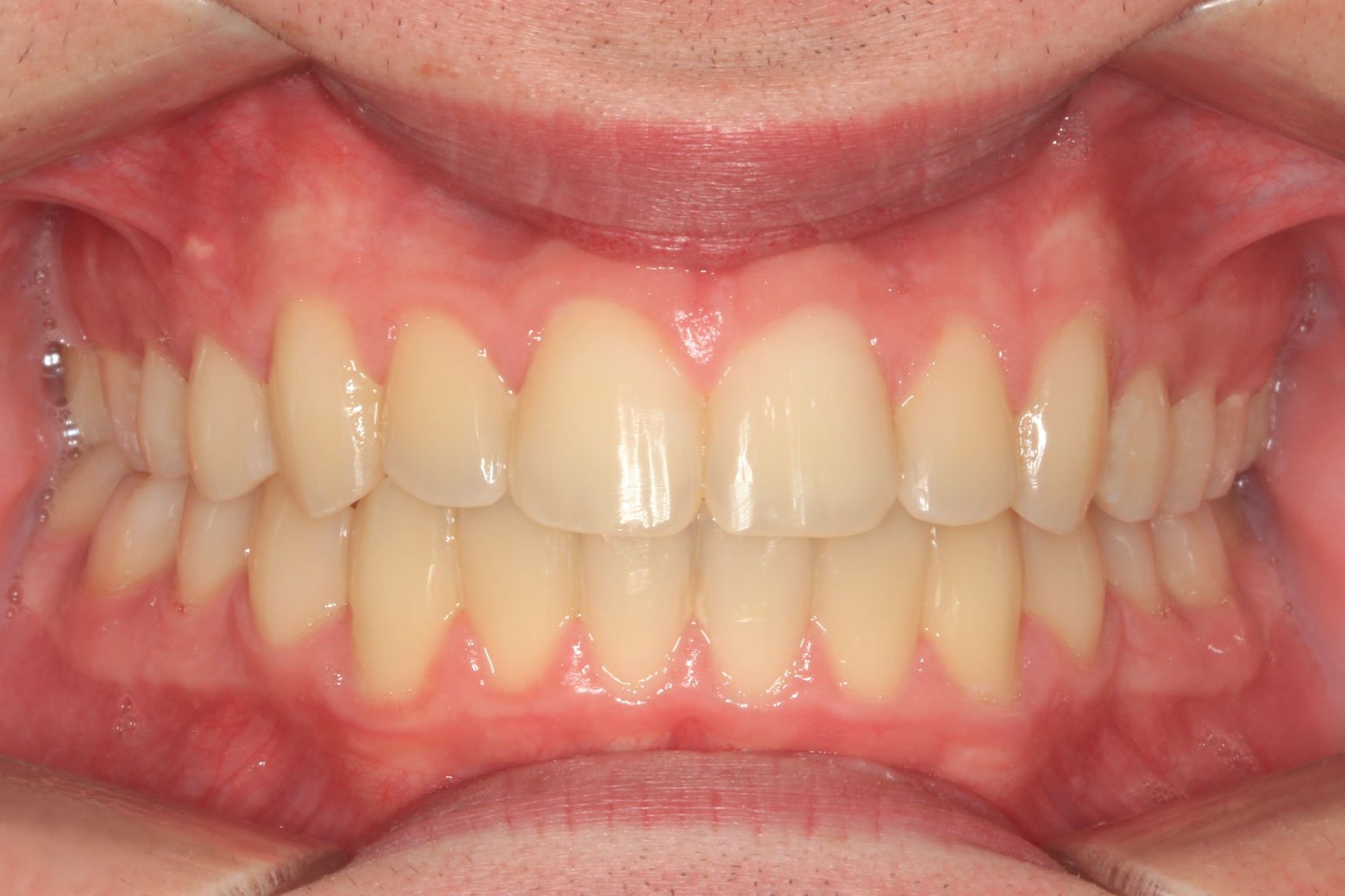
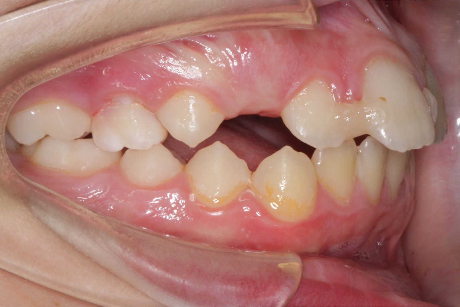
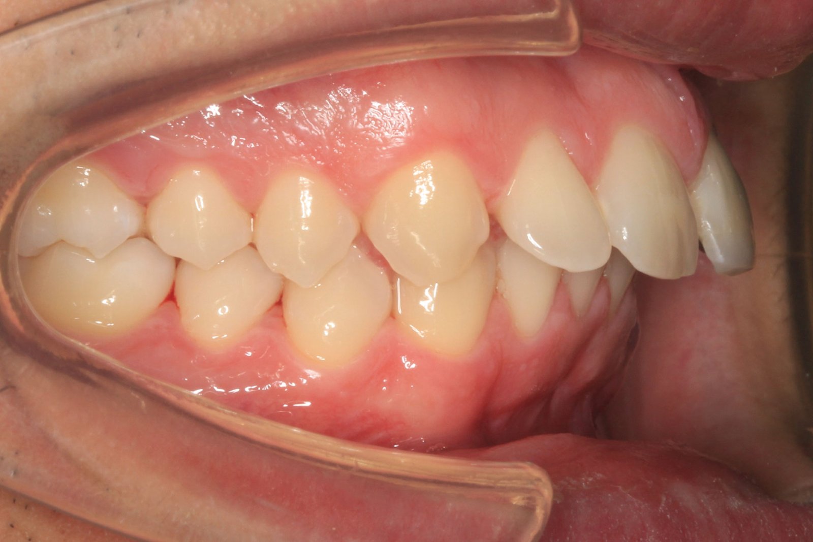
AFTER
BEFORE
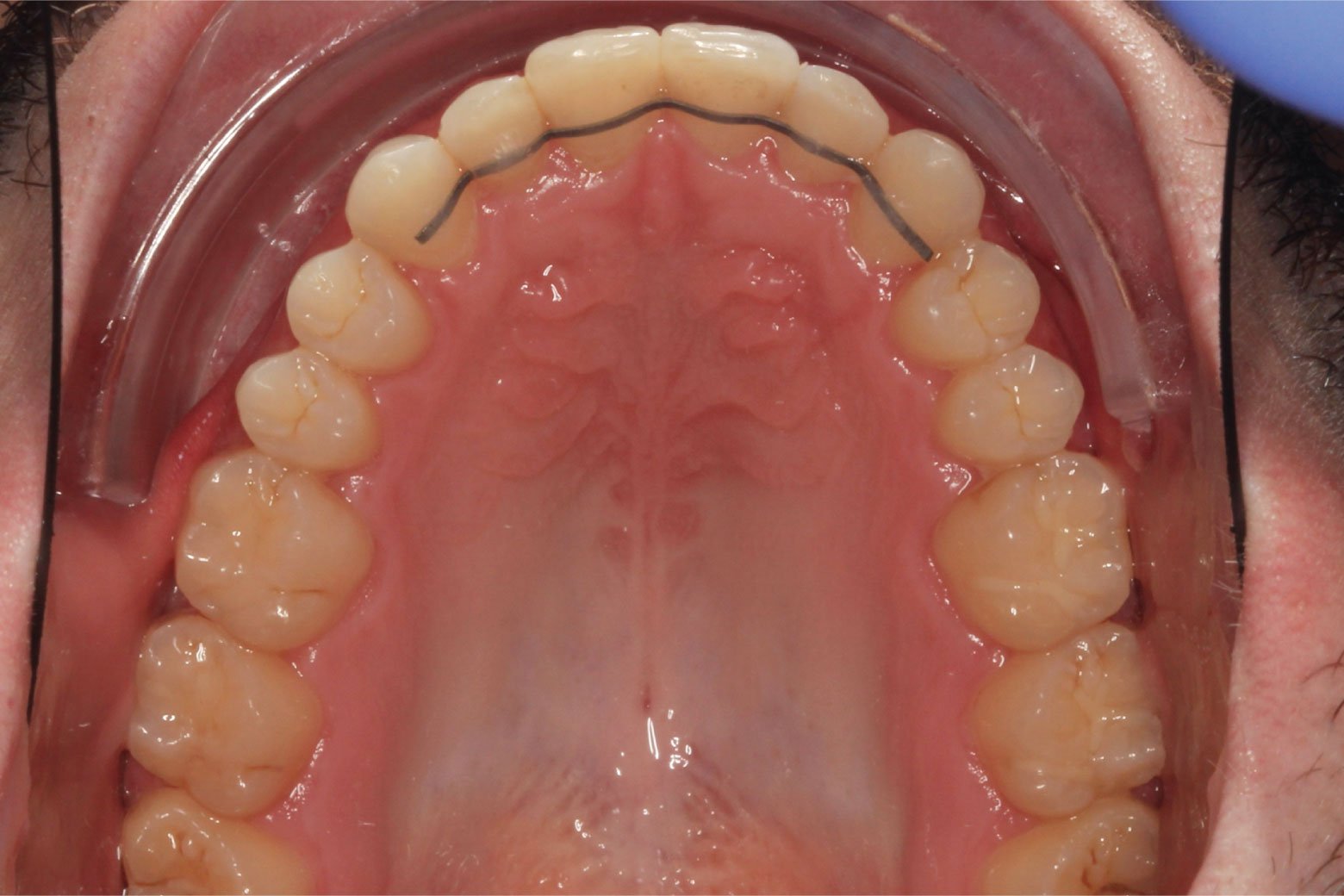
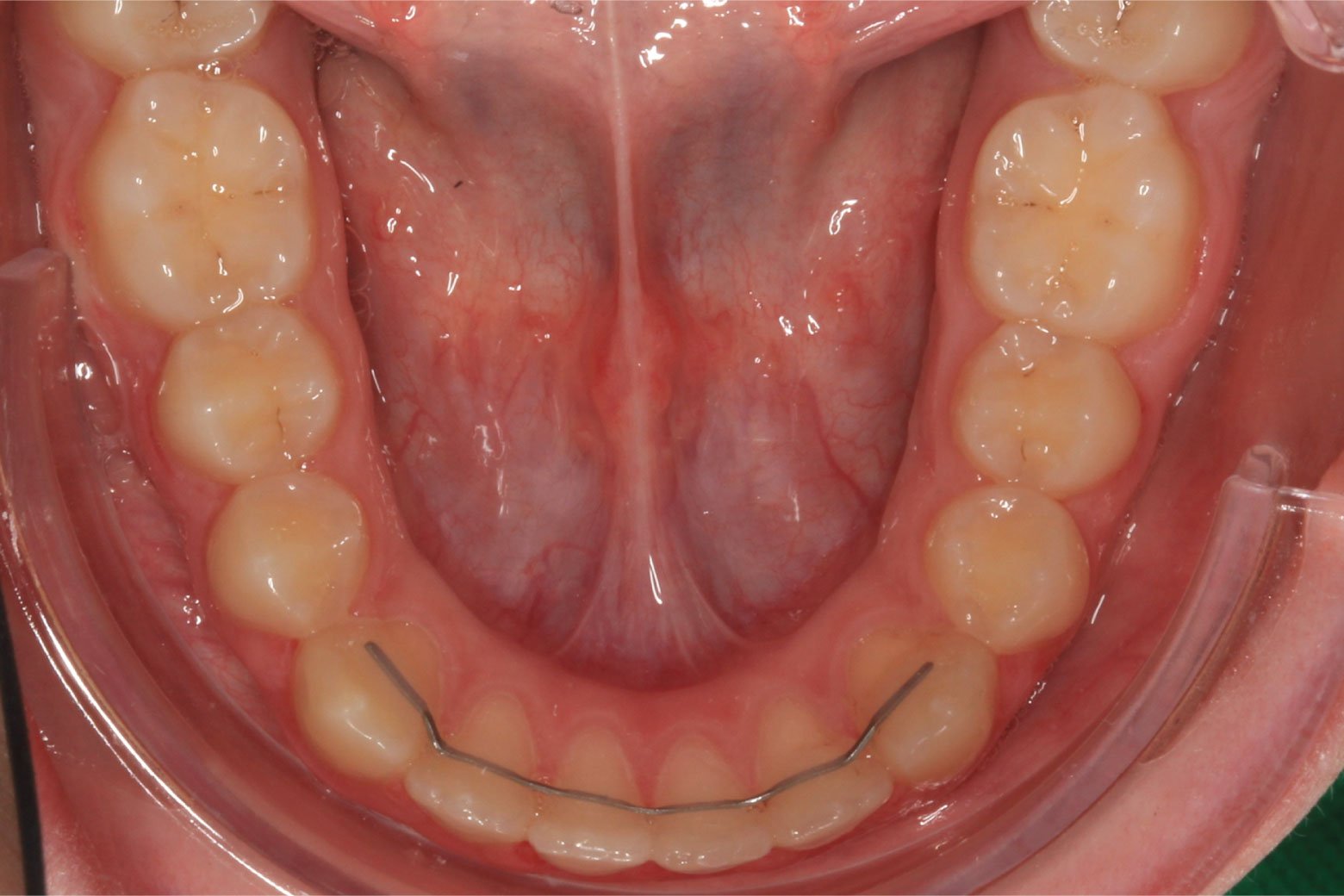
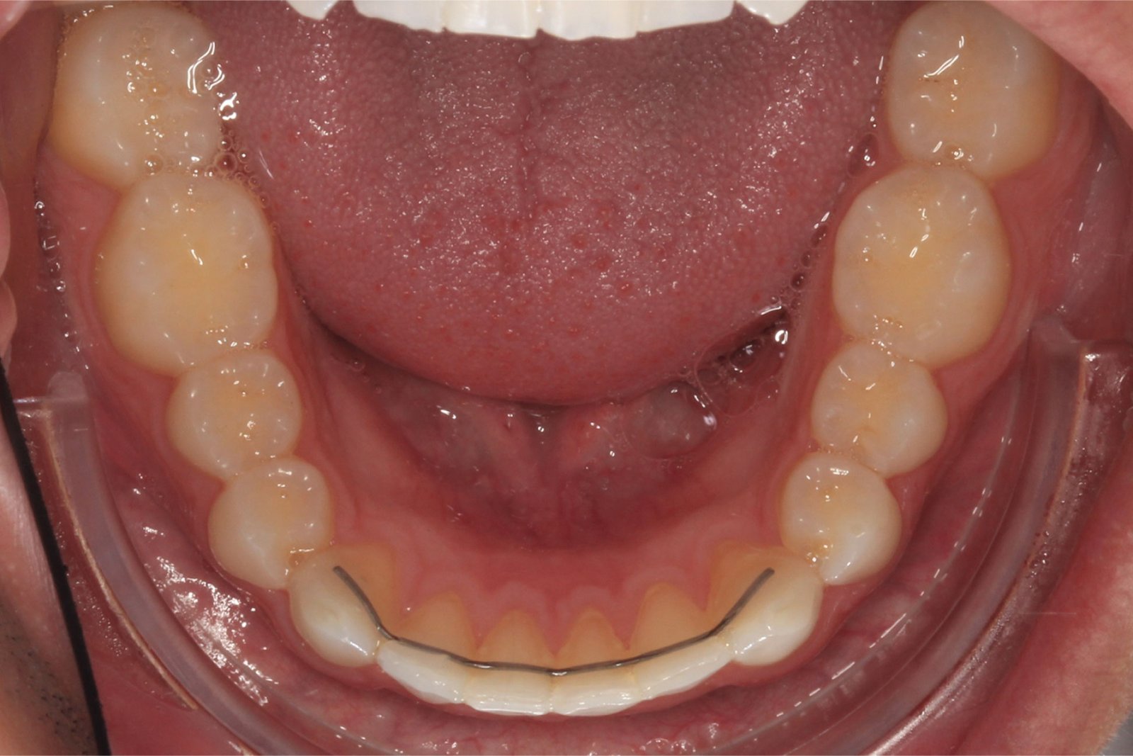
Orthodontic treatment with metal braces
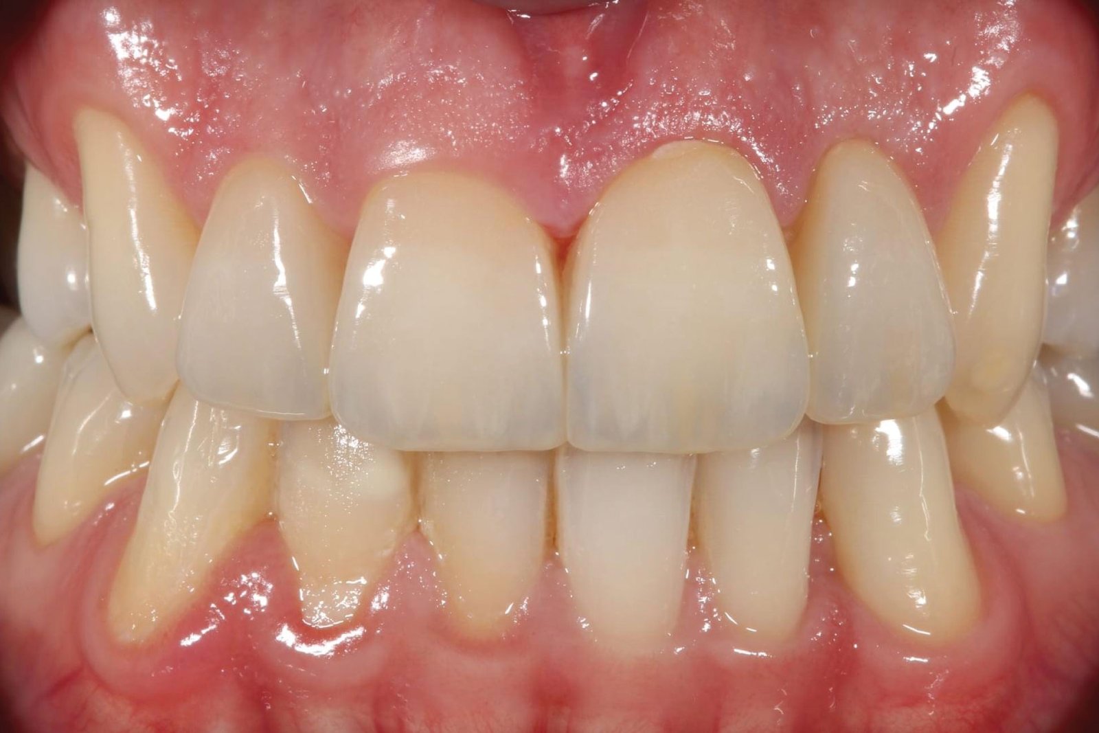
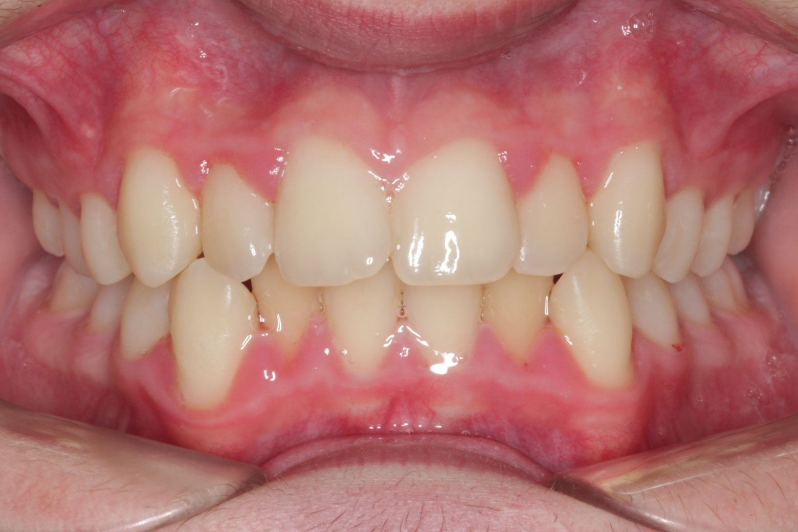
AFTER
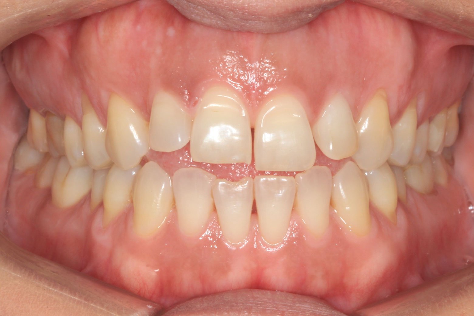
BEFORE
Orthodontic treatment of anterior open bite
AFTER
BEFORE
Invisalign Class 2 Treatment
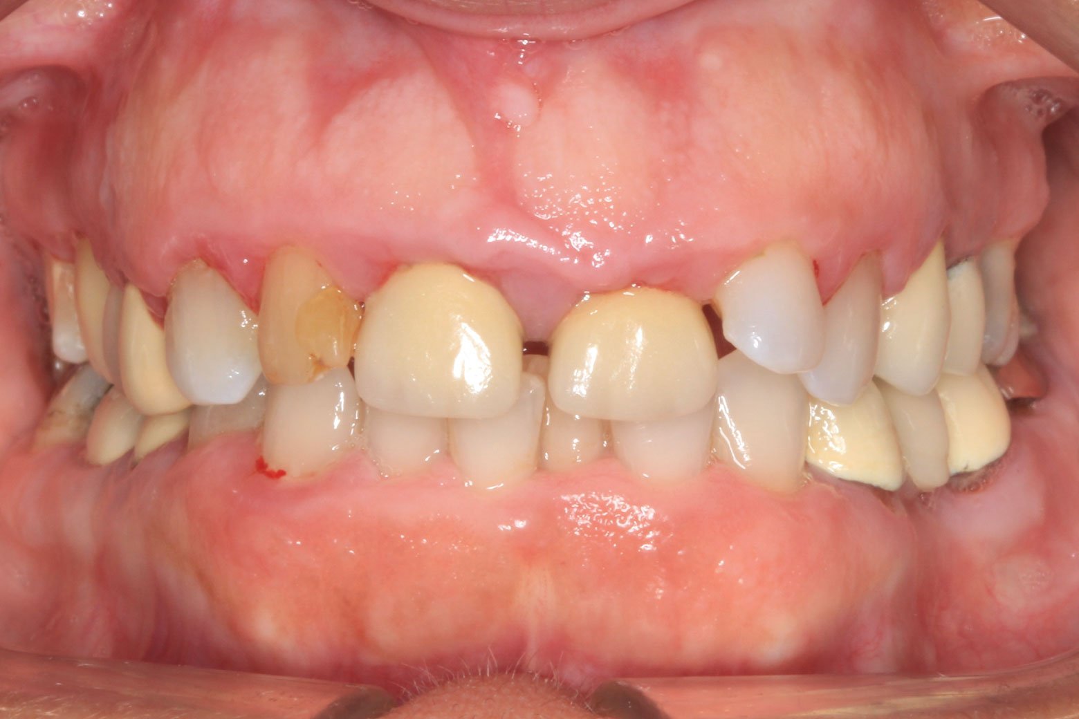
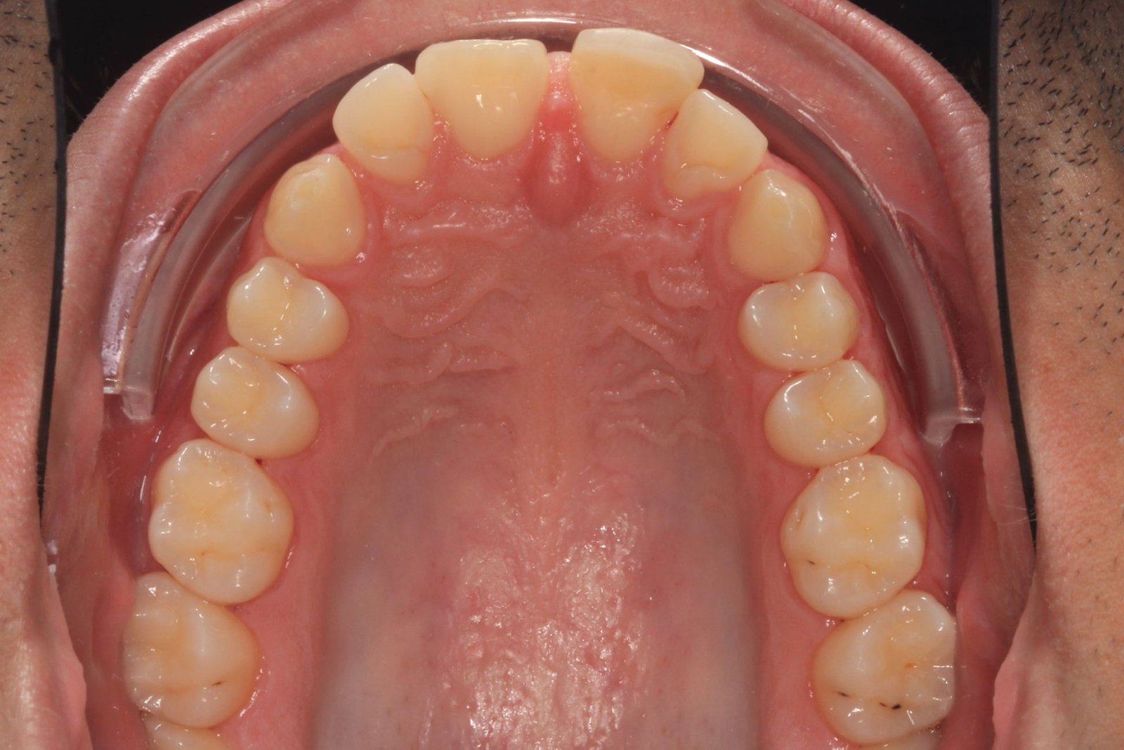
AFTER
BEFORE
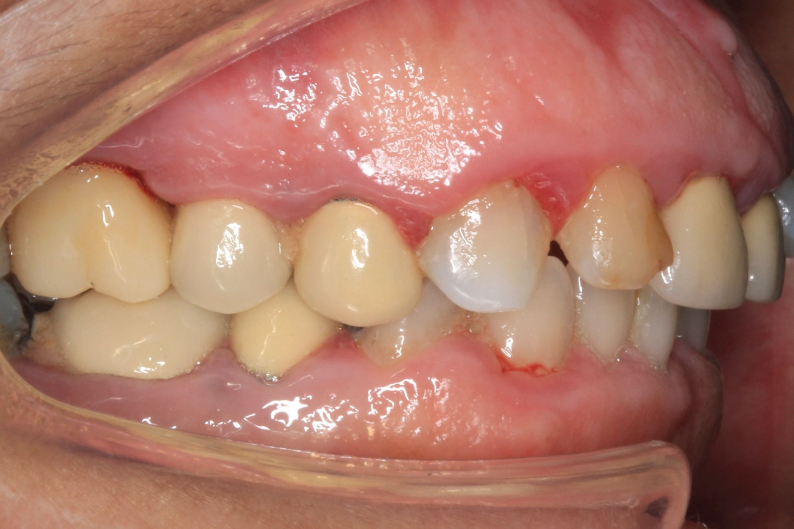
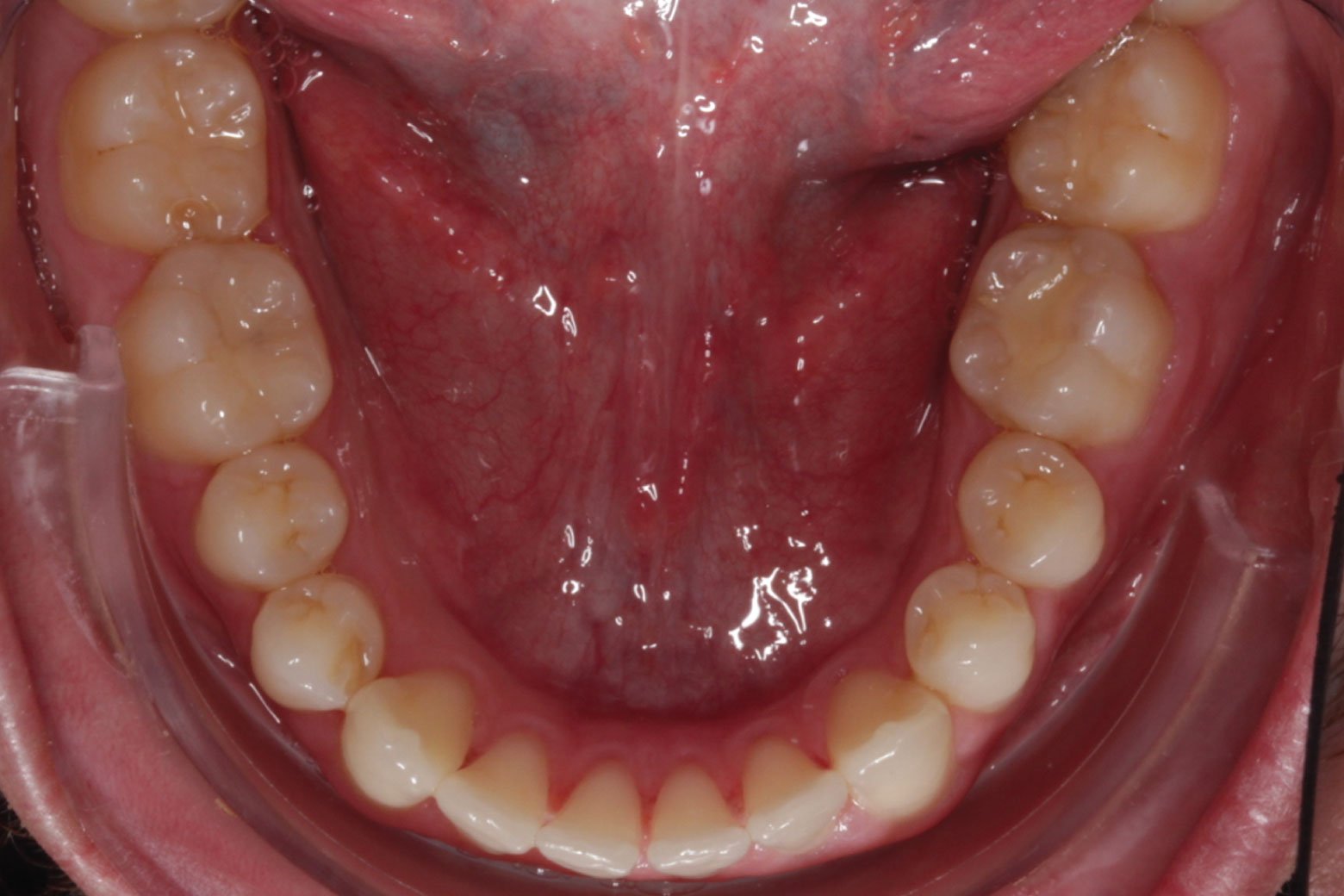
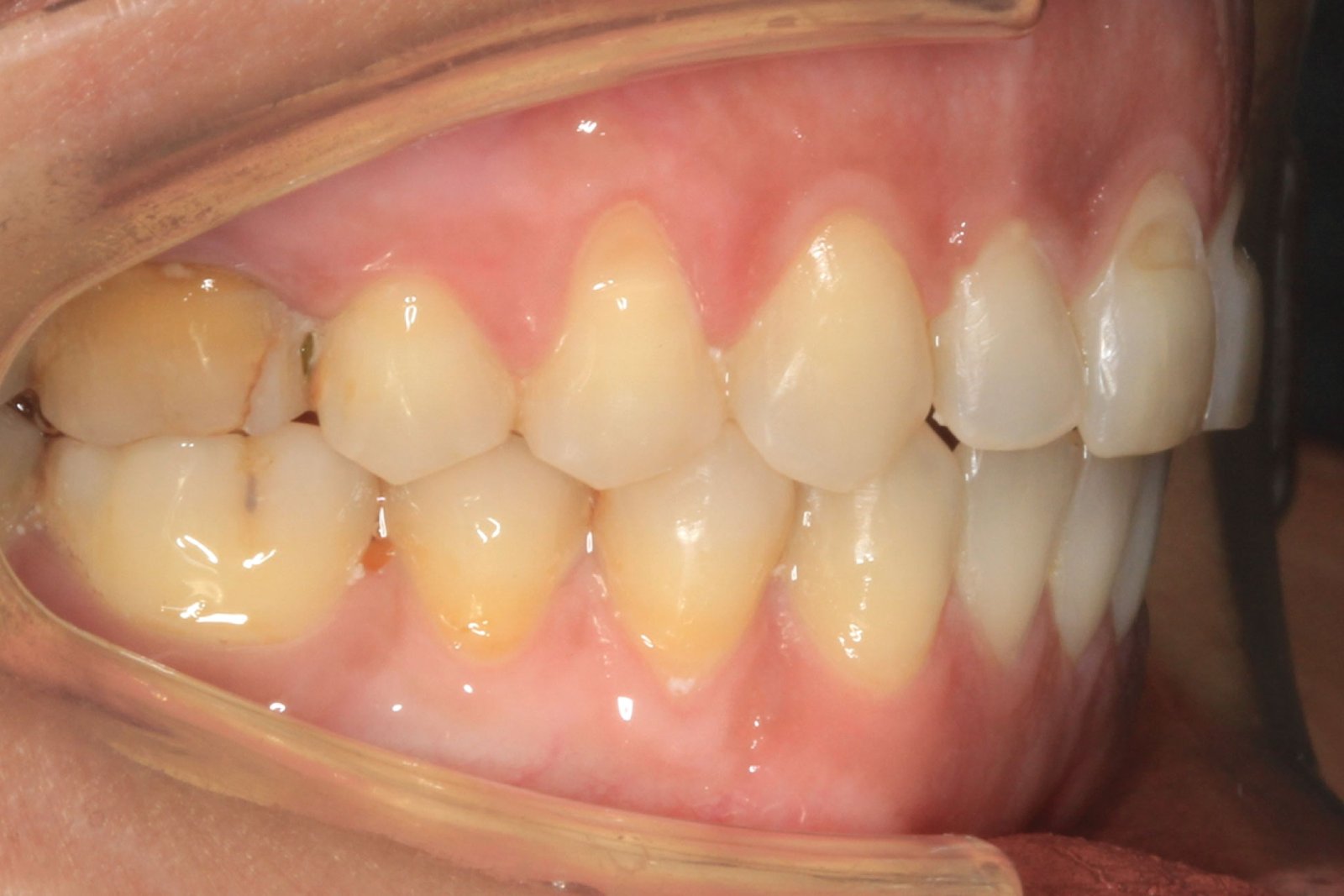
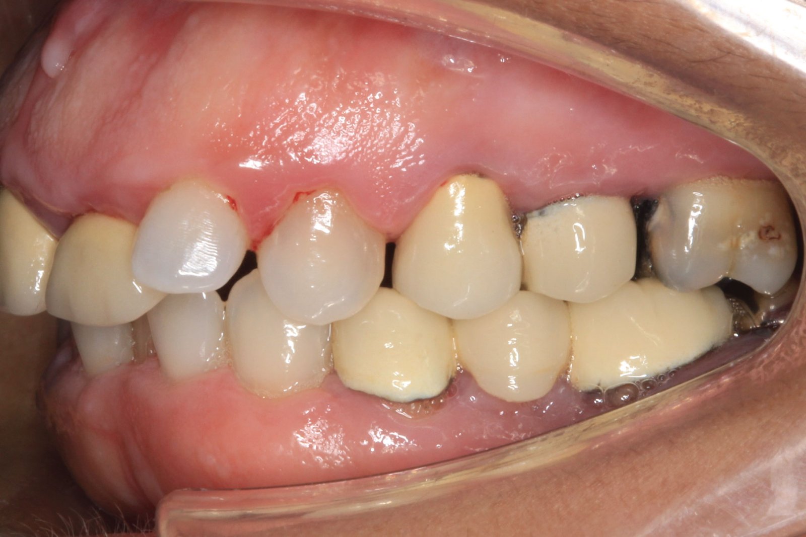
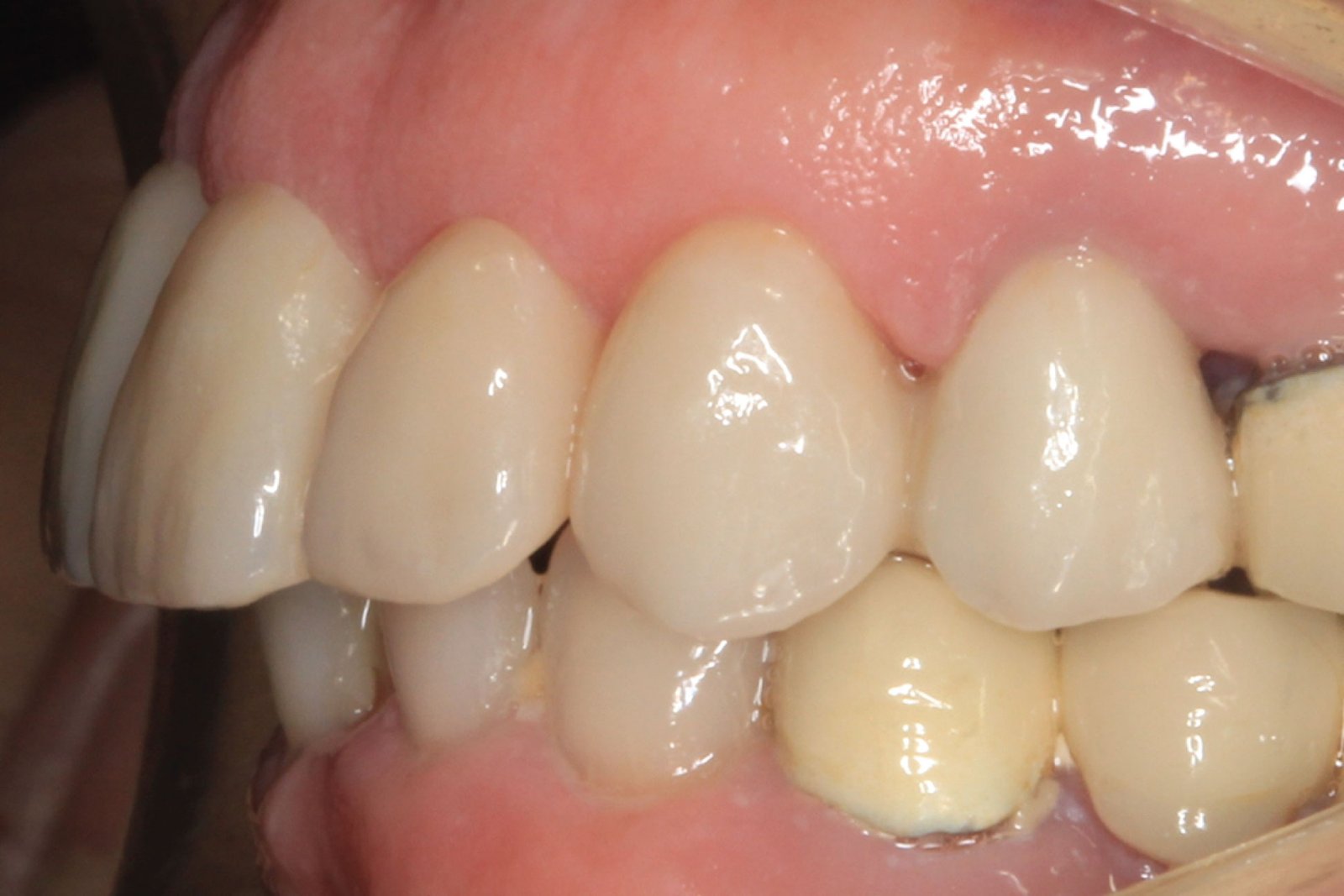
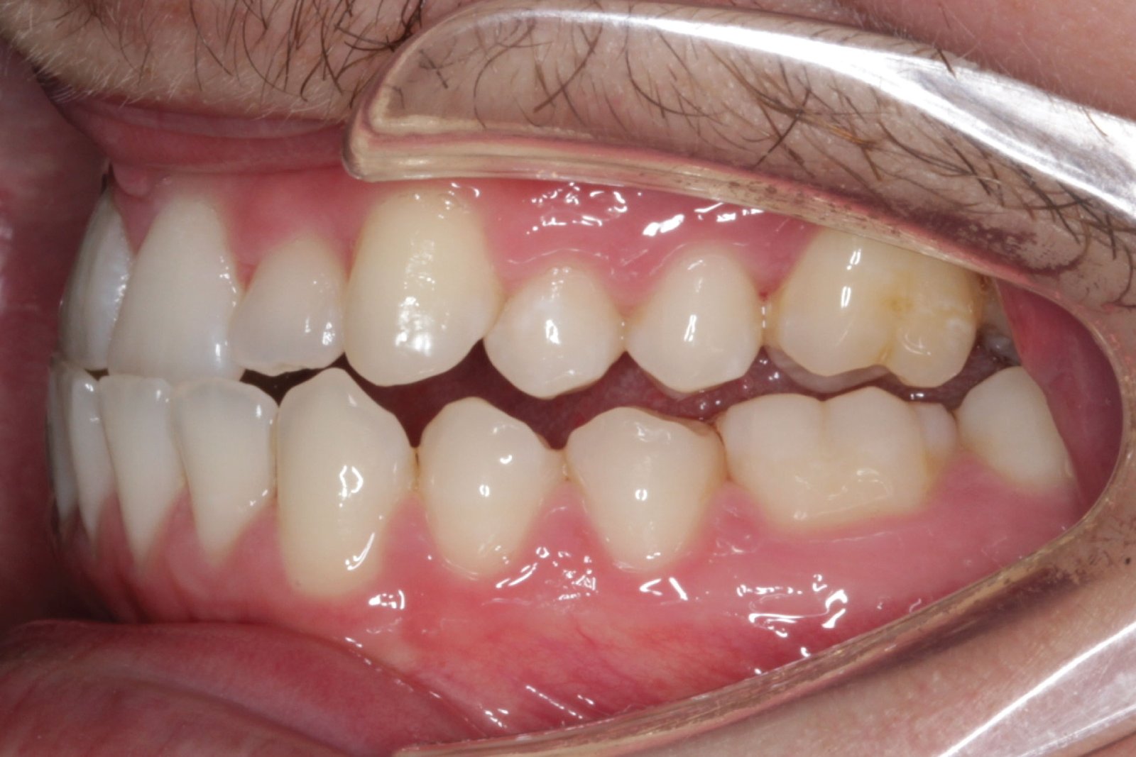
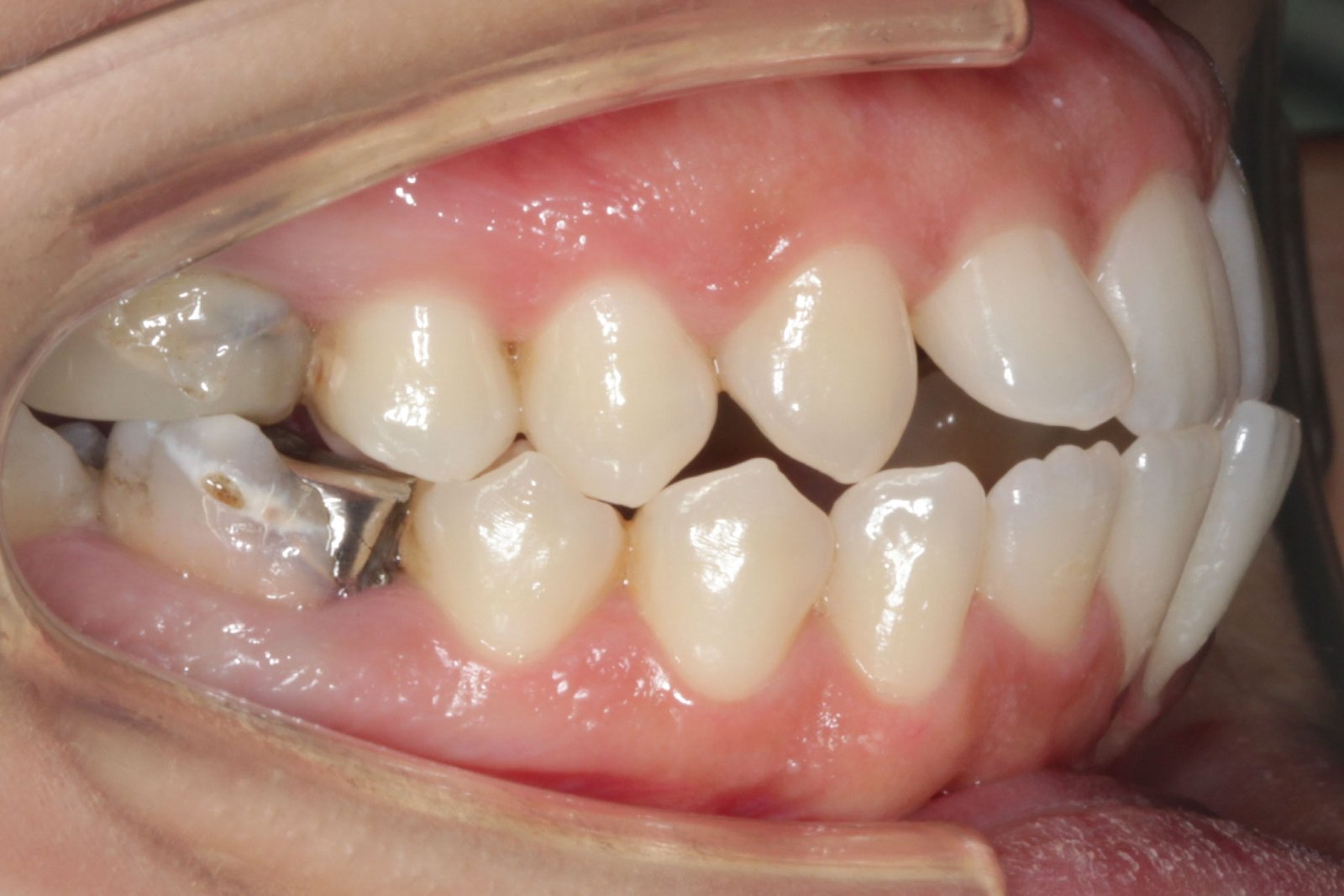
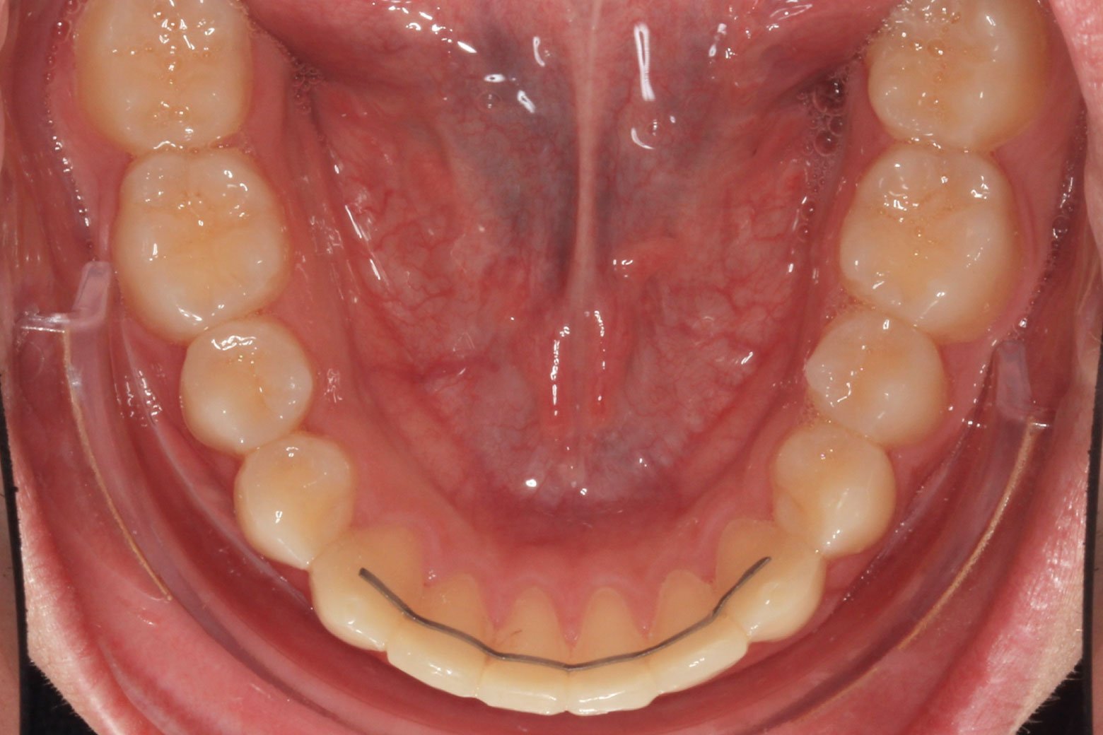
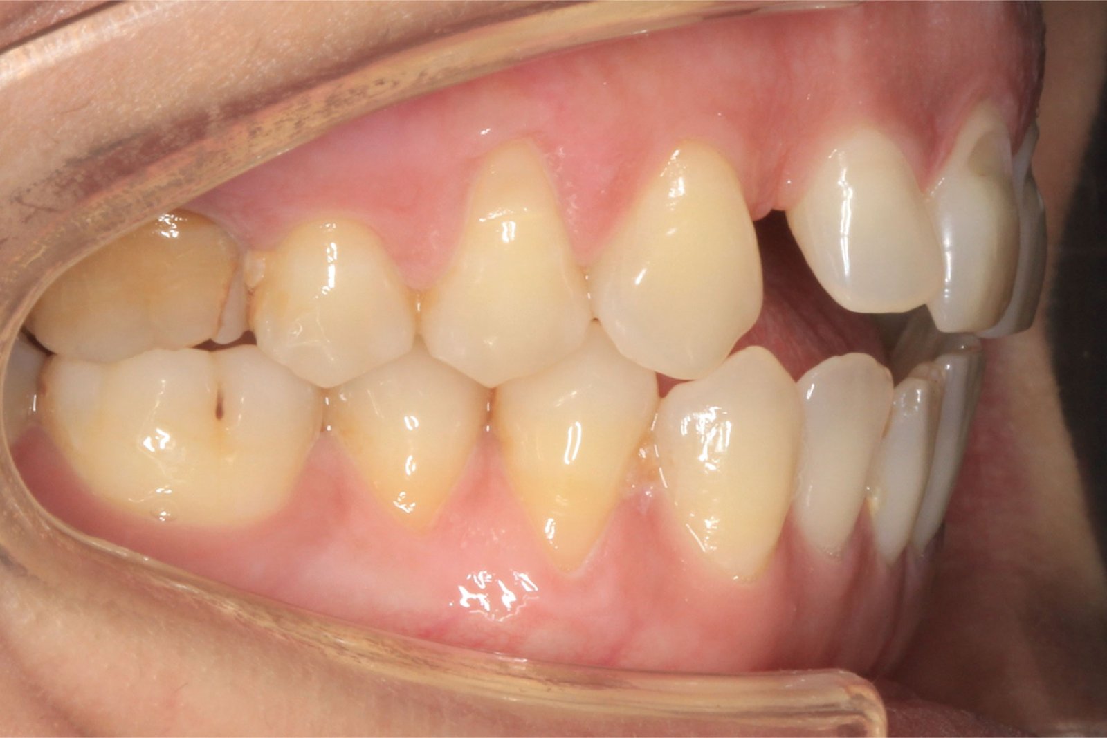
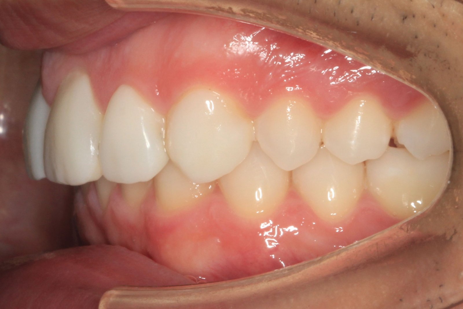
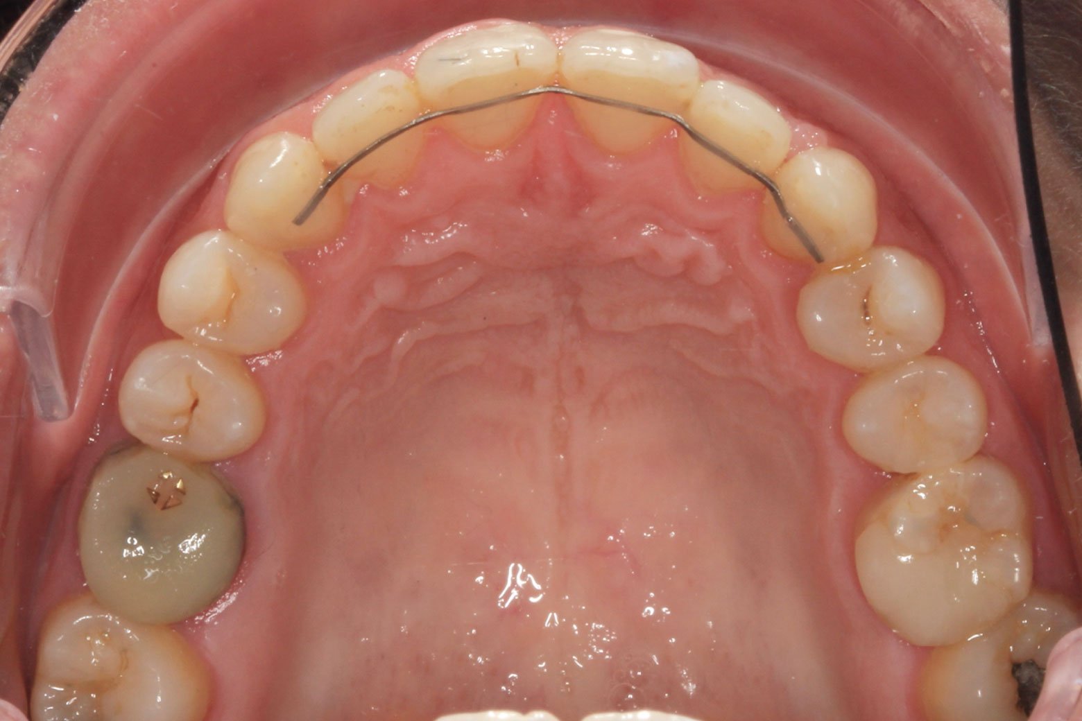
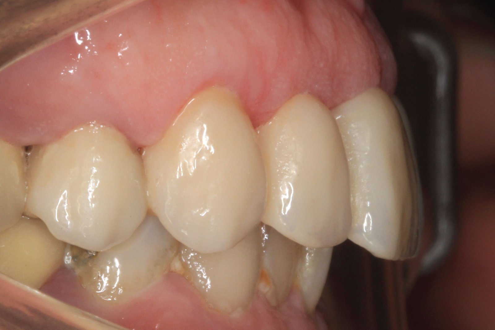
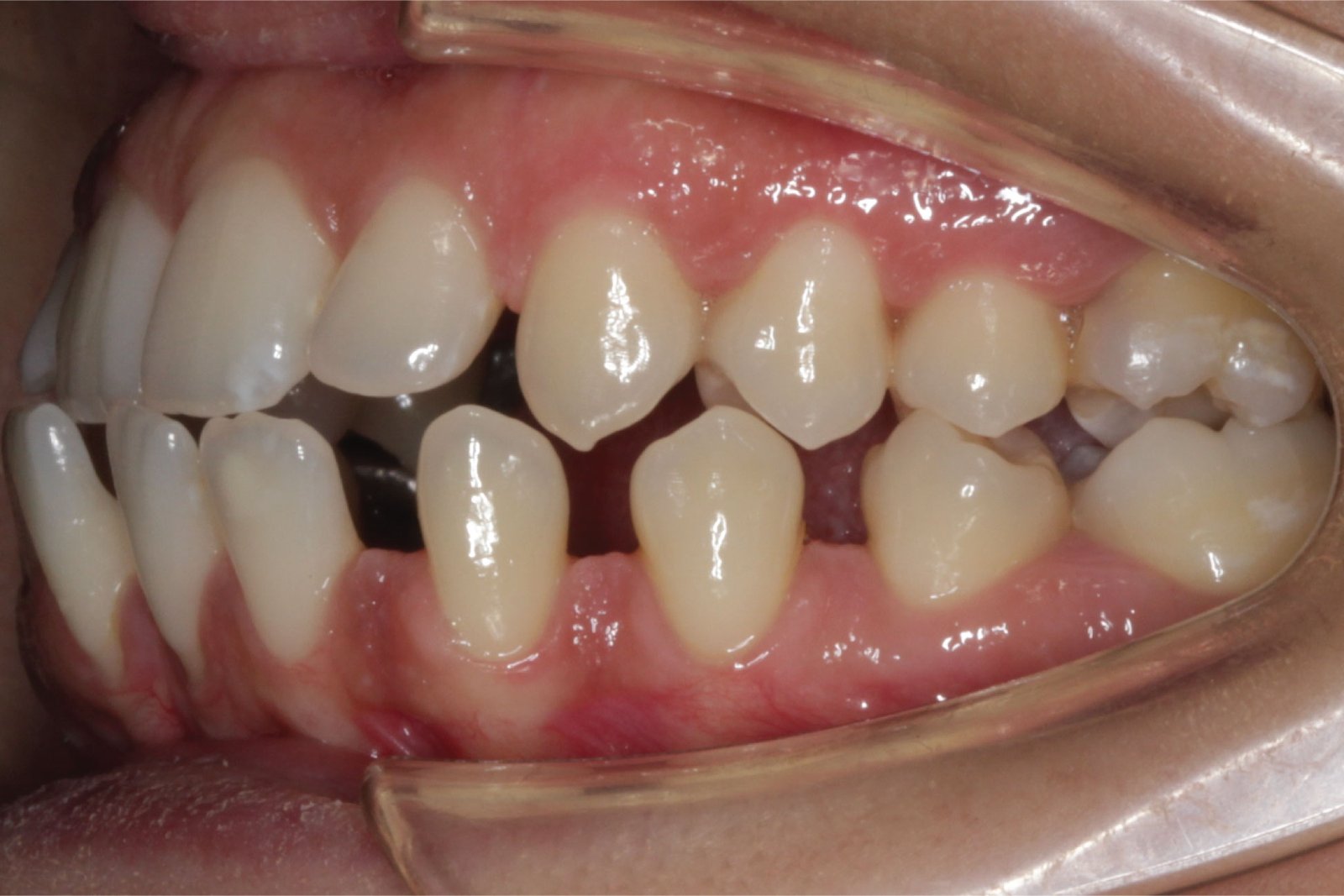
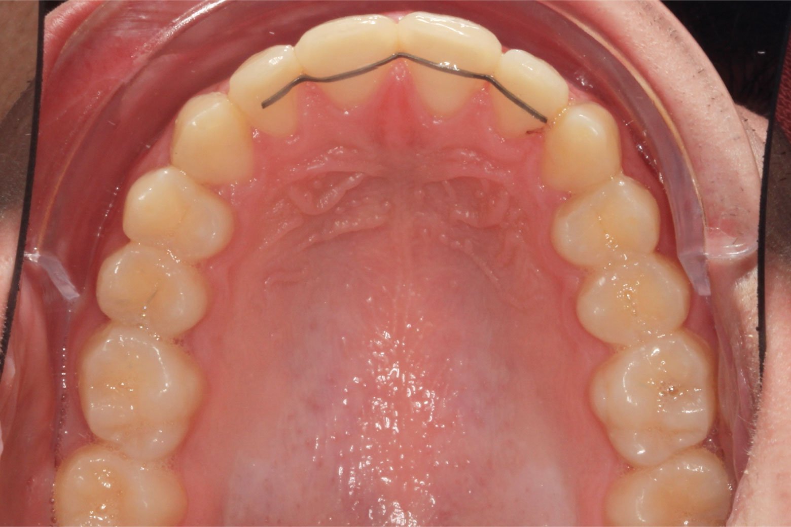
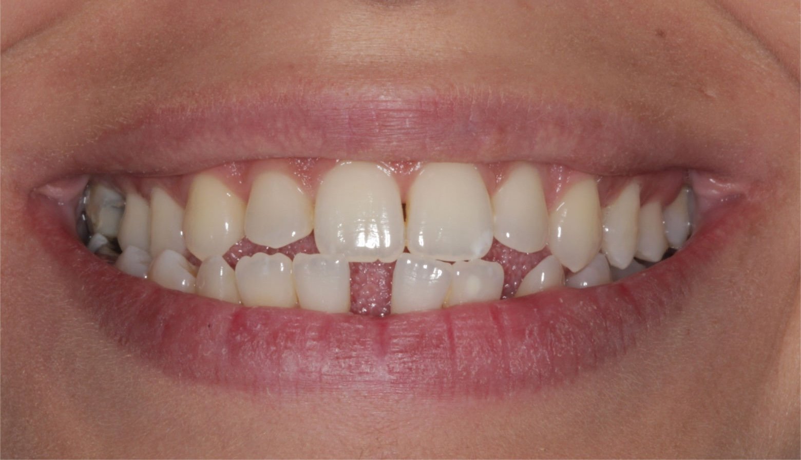
Ortho - perio - prosthetic restoration
AFTER
BEFORE
Orthodontic treatment with metal braces
AFTER
BEFORE
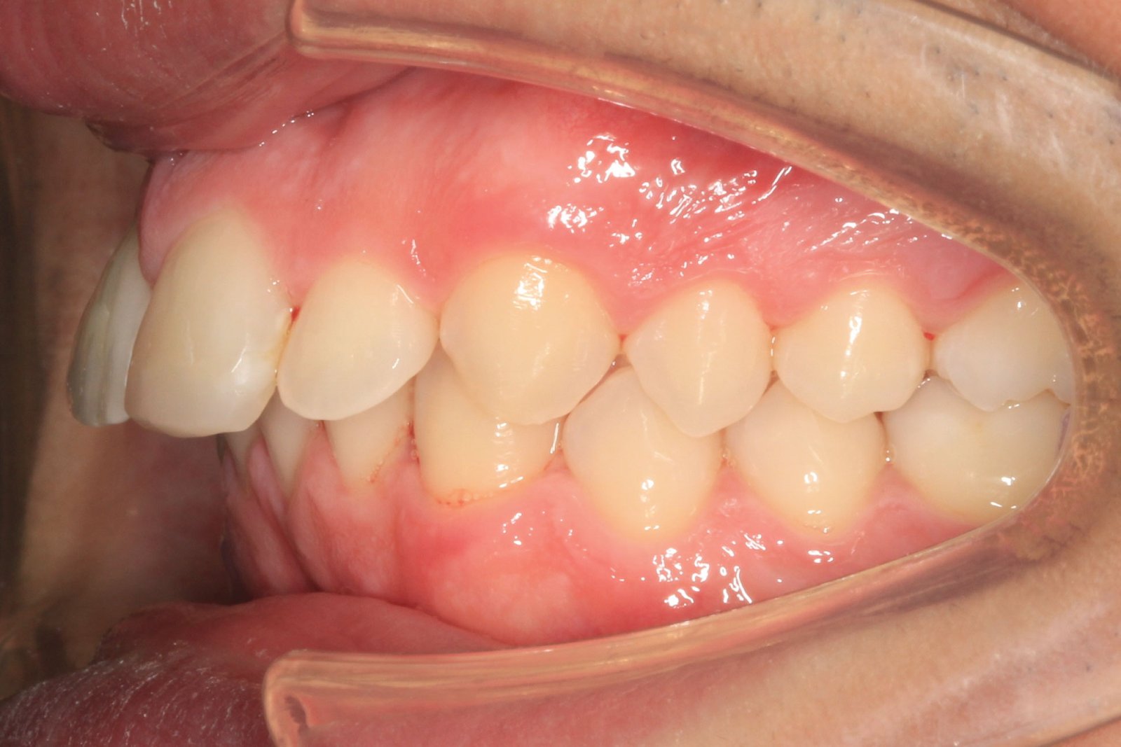
Invisalign Class 3 Treatment
AFTER
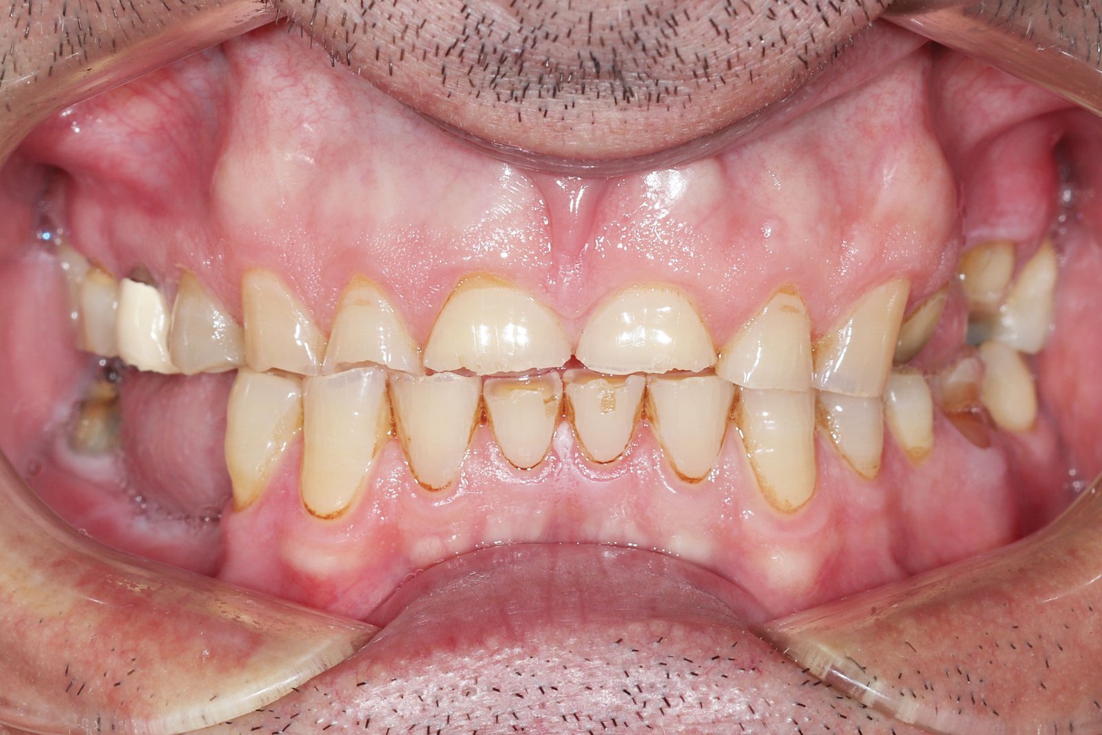
BEFORE
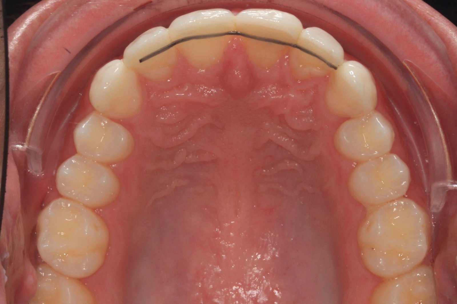
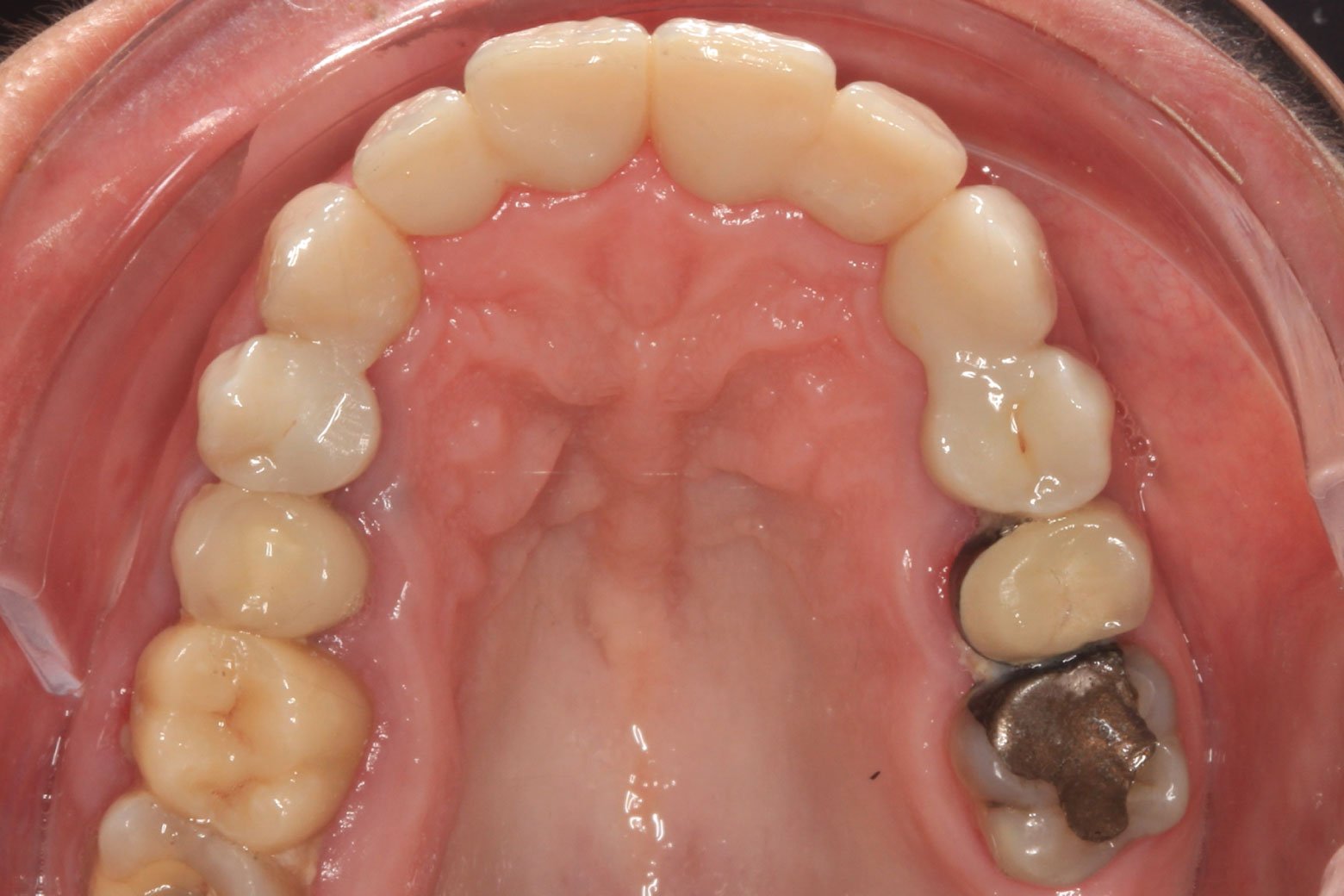
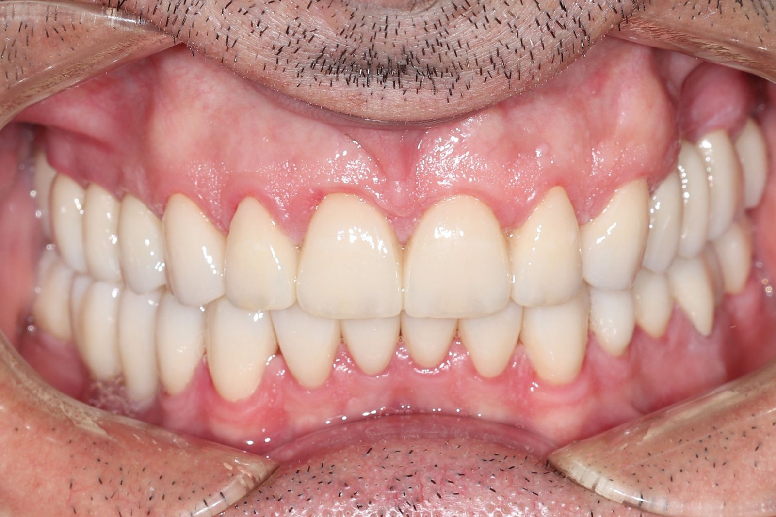
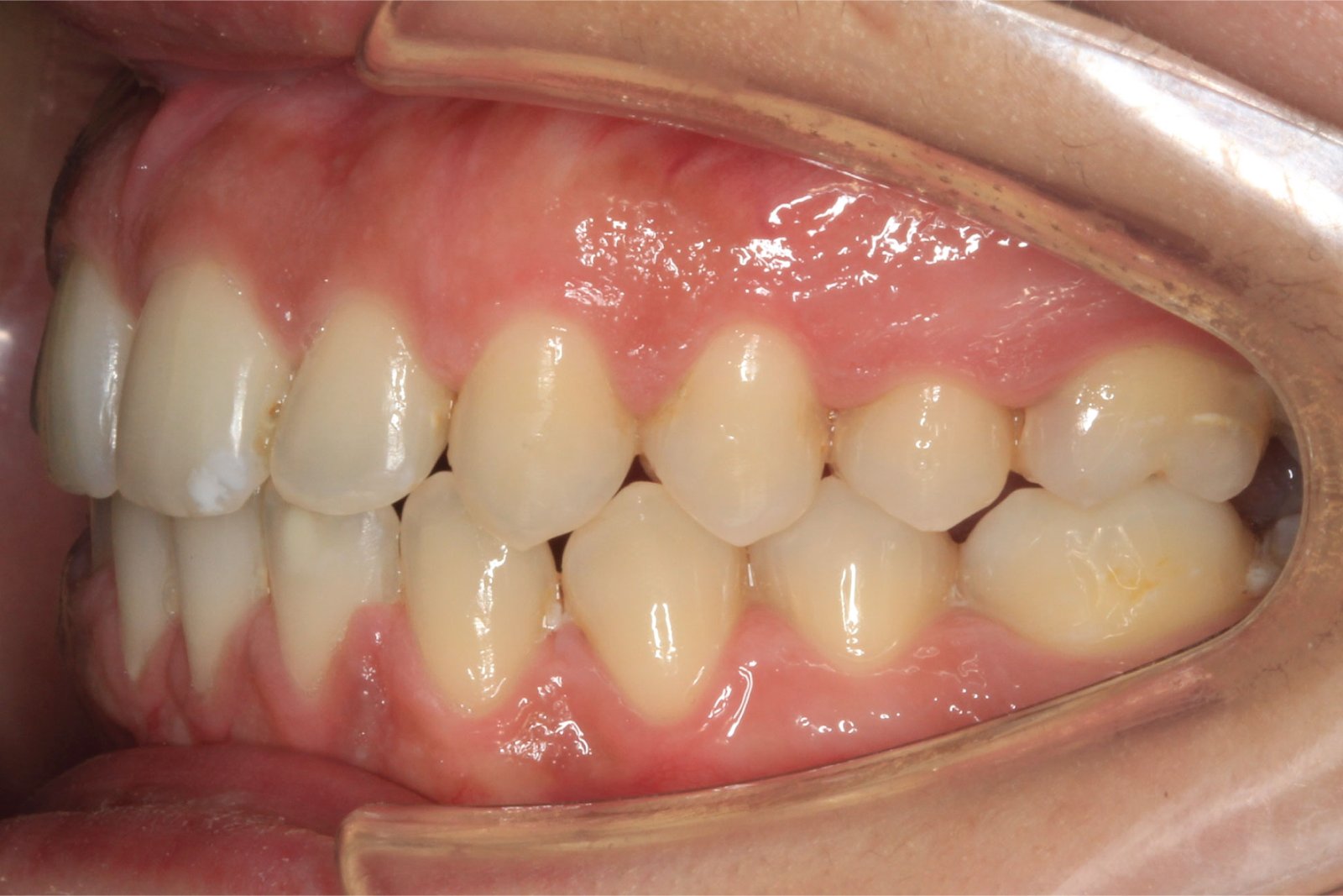
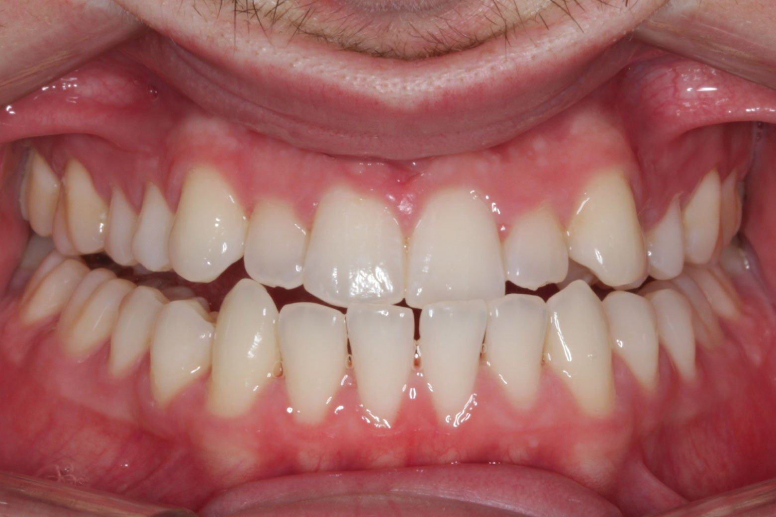
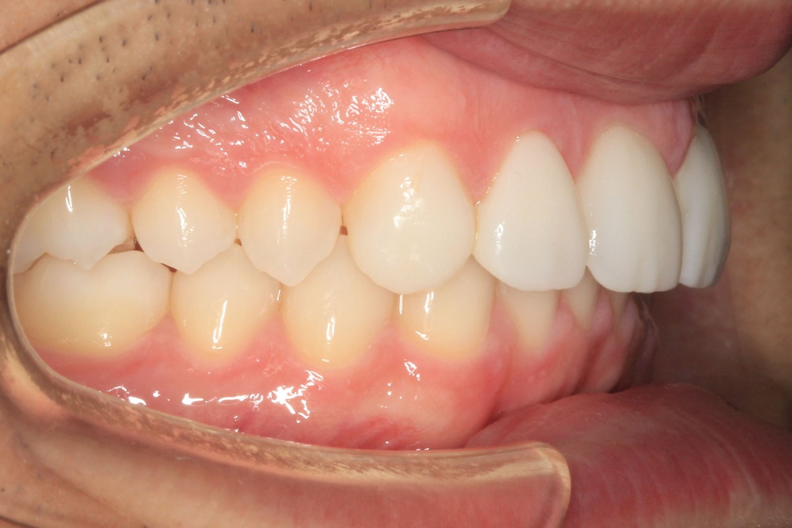
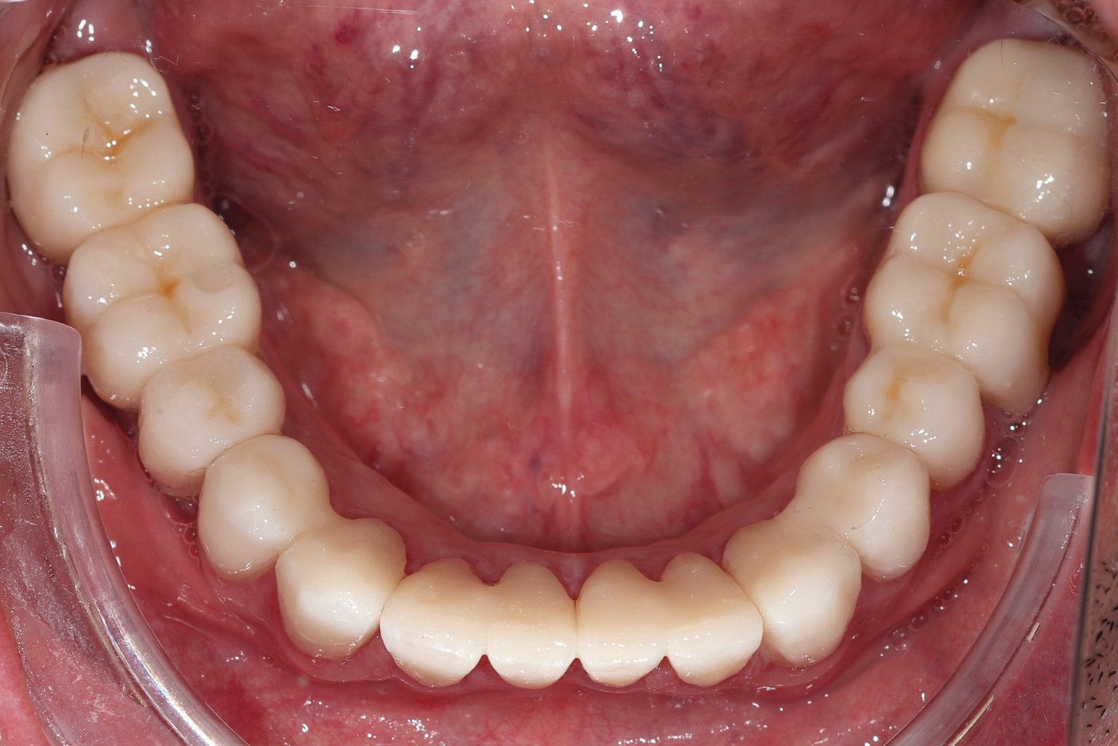
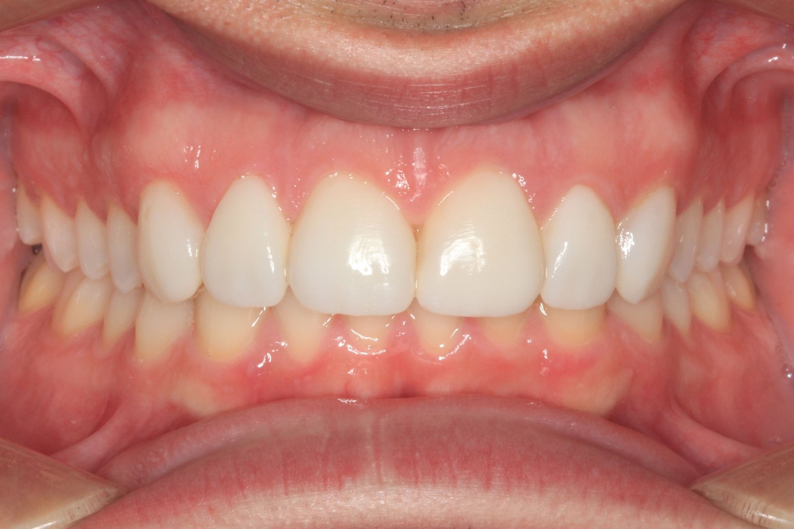
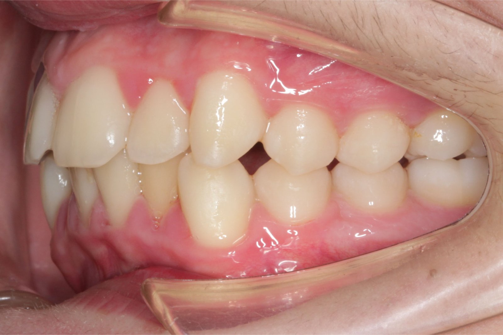
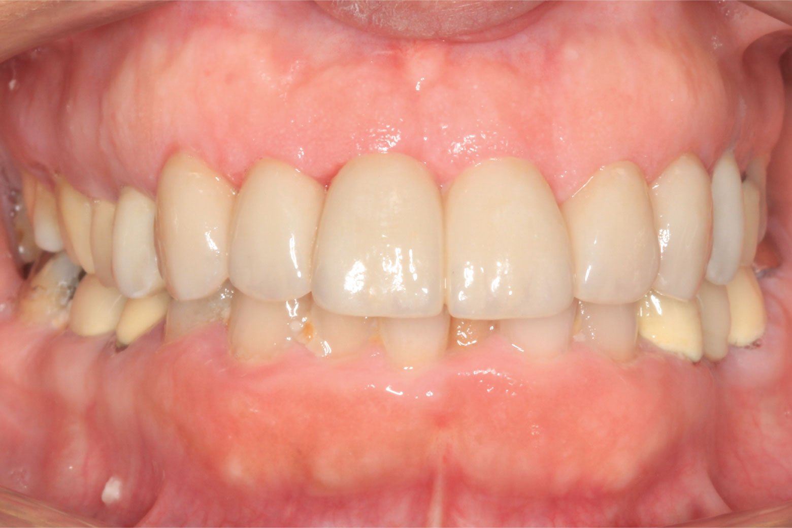
Total prosthetic restoration with zirconium crowns
AFTER
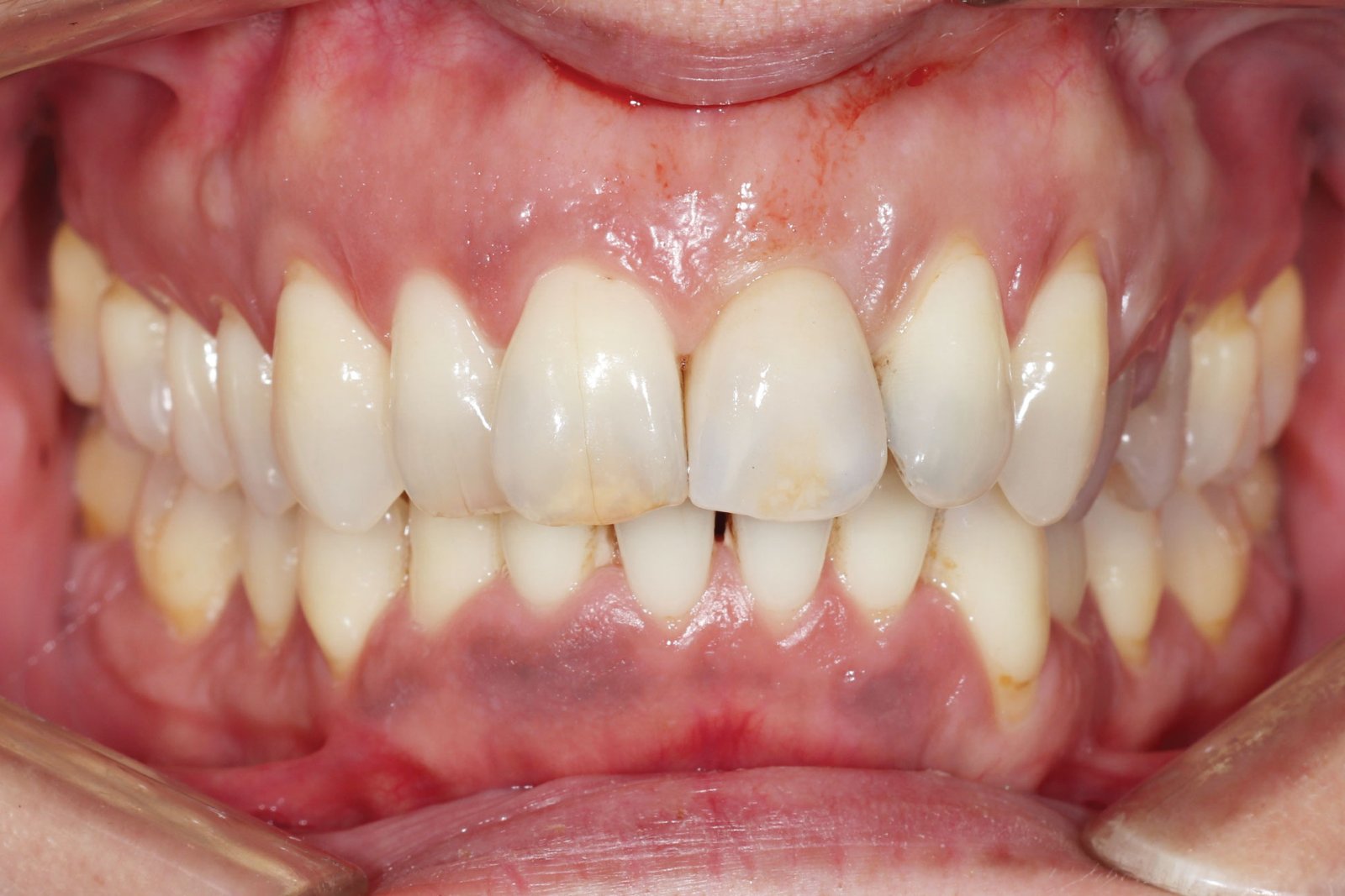
BEFORE
Replacement of metal-ceramic restoration with zirconia bridge
AFTER
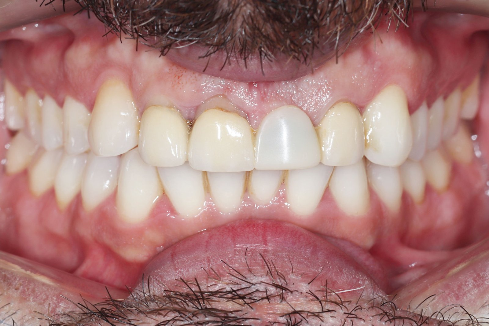
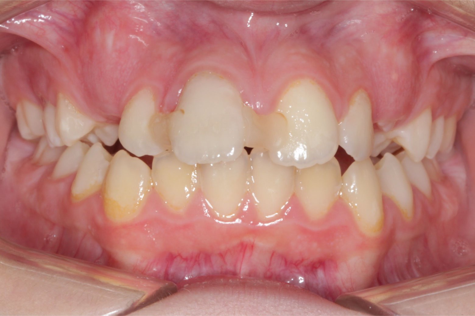
BEFORE
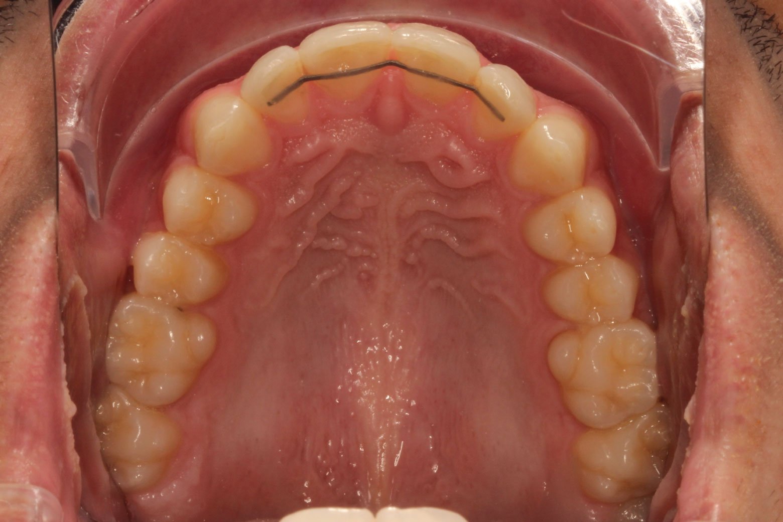
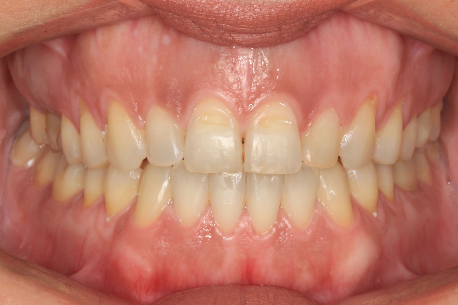
Single zirconia crown
AFTER
BEFORE
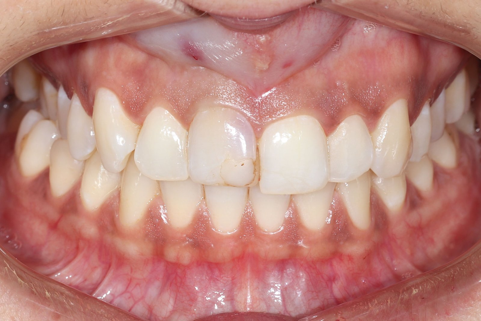
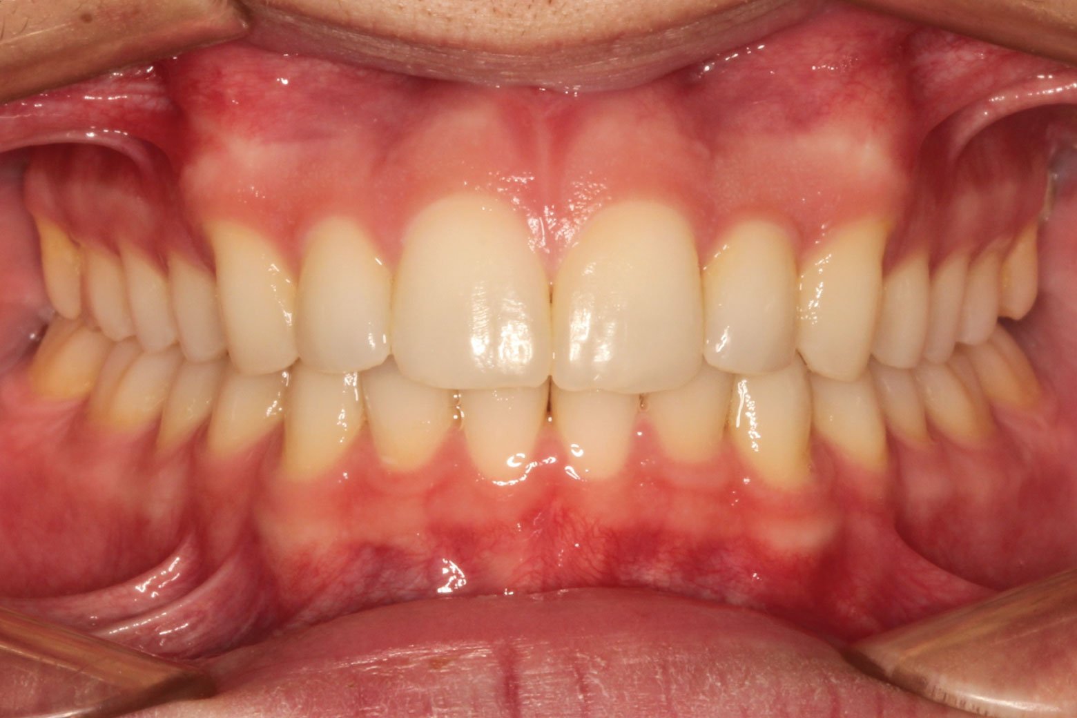
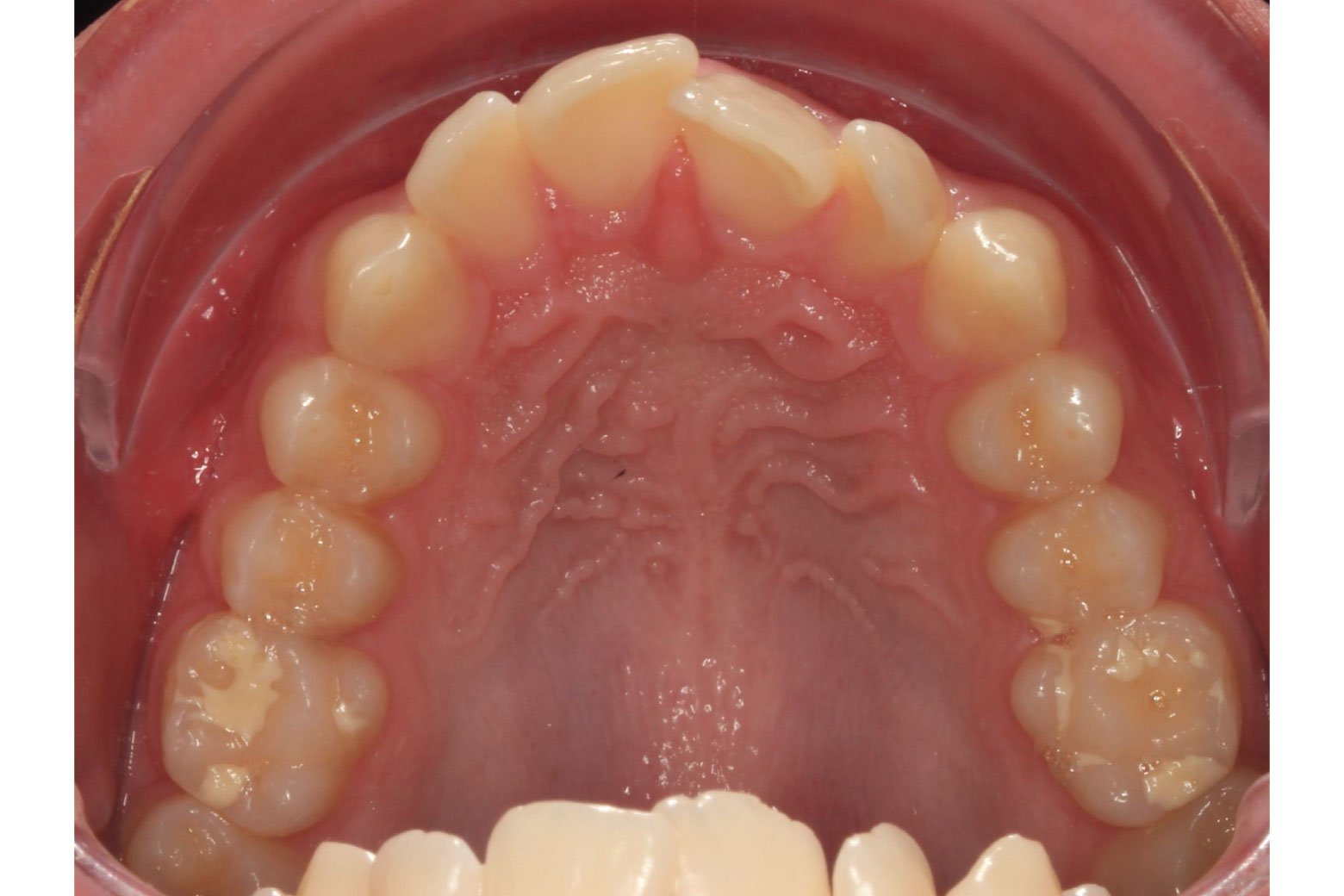
Ceramic veneers
AFTER
BEFORE
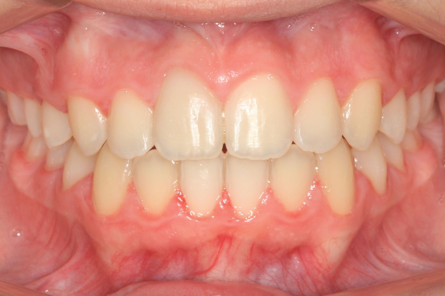
Immediate placement of a single implant